A little forethought can go a long way in delivering the best possible comprehensive restorative service.
A little forethought can go a long way in delivering the best possible comprehensive restorative service.
Today’s dental laboratories face many competitive challenges. You have read the articles, attended lectures, and heard peers talking about strategies to survive and thrive. Among the suggested ways you have probably heard is to set yourself apart from other labs. Most of the advice in accomplishing this is offering something that your competitors do not. Better service comes to mind as one of the frequently proposed ways to woo in and keep clients.
Service can be presented in many ways, but as savvy business owners we must think more abstract than just making sure our cases arrive on time or are available at the whim of our customers. Service is deeper than that. Service is a mindset that looks ahead, senses a need, makes suggestions and fulfills or covers that need before it arises. Thinking comprehensively and not just in the moment is a goal that fulfills a professional promise and services clients beyond the pale.
[Read How to be smarter about brand management]
With this month’s article I will cover and give examples of how forethought at the onset of a case not only “services” the needs of the clinicians we work for but, more importantly, provides for comprehensive restorative service that provides the highest and best results for the patient.
Using a little forethought
In removable prosthetics we are routinely faced with misaligned, plane deficient and unnaturally grossly asymmetric opposing restored arches. The cause for these situations is due in large part to the restorative sequence most patients are faced with because of treatment that is monetarily driven. Simply put, the patients do not have the resources to have the complete treatment plan done at once. Unfortunately most labs and clinicians decide that the importance of the case is in the speedy delivery and not in the design foresight that will ensure success with the eventuality of continuing phases of reconstructive treatment.
Let’s look at a specific way we can service our clients, their patients and at the same time elevate treatment to a comprehensive level and project value in dental technology and the reason for using our specific laboratory.
The case
This patient was presented with a worn full upper denture opposing lower right fixed bridge and an edentulous lower left quadrant. The initial treatment plan is to fabricate a new F/ denture and place implants to restore dentition on the lower left quadrant. With the aid of some evaluation skills, foresight, and lab fabricated communication tools, I was able to aid the clinician in emphasizing the need for a more comprehensive treatment in a visually impacting fashion. The end result was a correction of what would have been a continued propagation of deficient result.
Read the Concerns & Solutions on the next page ...
Concerns & Solutions
Fig.1 shows bridge 28-31 fabricated out of sequence with most likely opposing supra-erupted natural dentition, which was extracted at a later date for F/denture treatment. Single crown 21 was also fabricated against supra-erupted opposition prior to extractions. The patient was seeking new F/ and singular implant placements only. Without some kind of corrective measures on the mandibular arch, the plane deficiencies have to be built into the new F/ and eventual left mandibular quadrant prosthetics, which continues the never ending pursuit of correction (Fig. 2).
With minimal foresight into planning future implant or partial denture restorations by placing teeth on a non-restored area, you begin to suggest the corrective process and illustrate to the clinician and/or patient your technical value and the reasoning behind treatment suggestions (Fig. 3). In some instances, fabricating a removable segment in the edentulous area rather than luting to model makes for an easy transition to a provisional appliance.
As you develop a techno-clinical relationship, further tools can be suggested to the clinician to help illustrate existing deficiencies and to easily explain treatment recommendations to the patient (Fig. 4). In many instances this form of visual communication prompts the patient to accept a more comprehensive plan for treatment. These were fabricated from tooth colored self-curing resin and are transferable to the mouth for try-in. If a mandibular bilateral free end partial was causing the deficient plane, these types of segments could easily be fastened to the existing denture teeth on the partial until the saddles could be stripped and teeth reset.
Teamwork is Critical
Visual evaluation and example of corrective measures in and out of place during the F/ try-in stage aid the clinician in emphasizing a more comprehensive restorative plan (Fig. 5). Evaluation by clinician and patient emphasize esthetic corrections only obtainable through suggested treatment of opposing arch (Fig. 6). Although central incisor edge length remains the same, the incisal edge course, embrasure progression, and curve that follow the lower lip are possible without the constraints of a deficient, swayback, occlusal plane.
Closing Thoughts
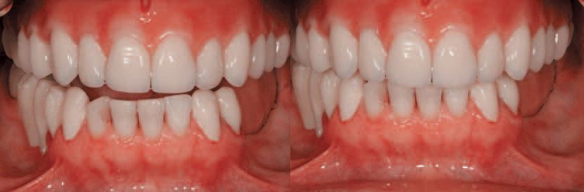
In this case, once the patient saw the esthetic enhancements possible with a more comprehensive treatment, she opted for provisional crowns to accommodate for the plane correction and the F/ denture was fabricated to completion using the ideal plane (Fig. 7). The next segment of treatment for this patient will entail new crowns and an implant borne bridge (Fig. 8).

Fig. 7 Patient opts for provisional crowns to accommodatefor the plane correction and the F/ denture was fabricated to completion using the ideal plane.

Fig. 8 The next segment of treatment for this patient
will entail new crowns and an implant borne bridge.
By taking a proactive stance as the technical entity and servicing our clients and their patients with foresight, clinical communication tools, and rationale, we provide a service that enhances and solidifies the importance of what we can provide and forces competitive businesses and hopefully the industry to elevate their definition of service.