How one dentist uses Tetric EvoLine bulk fill materials to provide patients with excellent dentistry.

Posterior restoratives are required to meet many criteria to be clinically successful. As practitioners, we strive to meet these criteria in every case despite the unique and individual challenges presented by each tooth and patient. The question becomes one of “How do I predictably achieve the same degree of success in the multitude of situations presented?” I was looking for esthetic and void-free restorations that sealed the margins and left the patient with little or no postoperative sensitivity. I began using bulk fill restoratives to create a more efficient protocol to reduce chair time and patient discomfort but found that the materials offered an ease of use that could predictably be used to achieve my expectations. At the end of the day, I want my patients to be comfortable and happy with the esthetics, the fillings to seal the teeth, and I want to look at the radiographs and feel good about my dentistry. Tetric Evo Line enables me to predictably and efficiency provide my patients with top-notch dentistry.
Case presentation
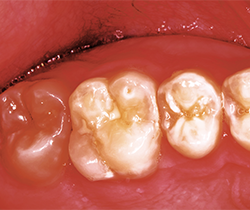
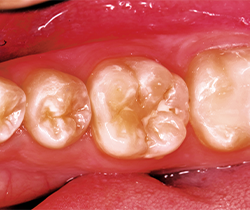
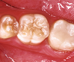
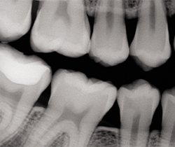
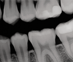
A 14-year-old patient presented to our office for a new patient examination. He had just completed orthodontic treatment and he had several large posterior caries and areas of defective enamel on his anterior and posterior teeth (Figs. 1-5). After a thorough examination and consultation with the patient and father, it was determined that the large caries on teeth #14DO, 18OB and 31OB should be sealed with large fillings, the defective enamel be treated with CTx4 toothpaste and CTx3 oral rinse (CariFree), and monitored as he gets older. The patient was appointed for caries removal and direct restorations to be placed at his next visit.


Fig. 1 Fig. 2
Procedure
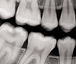
Under rubber dam isolation (Hygenic Non-Latex Dental Dam, Coltene Whaledent), the caries were removed and the teeth restored one quadrant at a time. A carbide bur was used to remove caries, followed with a diamond to bevel the cavosurface margins and finally with a round bur to excavate the deepest portion of the decay (Figs. 6-7).


Fig. 3 Fig. 4
Trending article: How to complete a Class II restoration without anesthesia
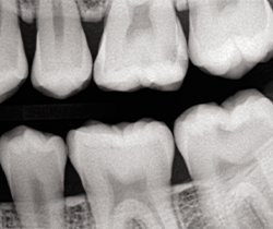
The bevel on the cavosurface margin allows for increased esthetics for the materials to have a chameleon effect with the underlying enamel. The resultant cavity preparation revealed preparations that were in excess of 4 mm deep in all prepared teeth. Once the caries were completely removed, the dentin and enamel were particle abraded with a PrepStart™ (Danville) with 40 micron aluminum oxide to homogenize the dentin, creating a uniform smear layer of the dentin forming the ideal interface for dentin bonding. The decision was made to use Tetric EvoCeram Bulk Fill (Ivoclar Vivadent) composite restorative.


Fig. 5 Fig. 6
After disinfecting with 2% chlorhexadine gluconate, 35% phosphoric acid gel (Total Etch, Ivoclar Vivadent) was applied to the enamel for 15 seconds. Selective etching technique of enamel only takes advantage of the universal adhesive technology of Adhese® Universal (Ivoclar Vivadent). Etching enamel creates maximum bond strength to enamel. Etching of dentin isn’t required, so sensitivity is reduced from no dentin etching and long -term bond strengths are not effected by the phosphoric acid etched dentin interface (Figs. 8-9).


Fig. 7 Fig. 8

Fig. 9
Continue reading on page two...
The Class II cavity preparation was prepared for composite filling with a matrix ring, sectional matrix band and a wedge (Garrison Dental Composi-Tight® Soft-Face 3D XR Ring, Slick Band and Wedge Wand). The band, 5.5-mm small molar matrix, was placed carefully on the distal of the upper left first molar to have proper contour at time of placement to prevent less than ideal tooth form when the filling was completed. Due to the lack of interproximal contact prior to cavity preparation, additional shaping of the band was necessary to create a new contact. If not placed properly, it would necessitate additional contouring after composite curing with rotary instruments in an area of inadequate access.
After thorough rinsing of the phosphoric acid gel, the preparations are dried with an A-dec air dryer and two coats of universal adhesive are placed (Adhese Universal VivaPen®, Ivoclar Vivadent). The dentin is thoroughly dried with this technique as this adhesive is flexible in its dentin moisture tolerance. The VivaPen delivery system is preferred, especially when treating multiple teeth to allow fresh, uninterrupted delivery of adhesive to the teeth. Adhese Universal is less technique sensitive in that it’s indicated for both dry or moist dentin (Fig. 10). Each tooth is then cured for five seconds per surface in turbo mode (Bluephase® Style 20i, Ivoclar Vivadent) (Fig. 11).


Fig. 10 Fig. 11
Related reading: Solve my problem: Capture, design and collaborate for cost effective restorations
This first layer of direct restorative is Tetric EvoFlow Bulk Fill shade IVW (Ivoclar Vivadent). This is used as a dentin replacement layer. The lighter shade is perfect for younger teeth with a brighter final shade. The shade is one of three choices from Ivoclar Vivadent to reduce the amount of shades necessary to keep in stock and reduce time necessary to choose shades for ideal shade matching. The IVW shade matches bleached teeth. The material has a similar opacity as dentin and high radiopacity to be easily distinguishable on radiographs. Utilizing its strength in opacity and ability to place up to four millimeters enables the practitioner to place this material in a way that minimizes treatment time and idealizes esthetics. The material also utilizes Ivocerin technology to realize its four millimeters depth of cure with a dentin-like opacity. The material, when first placed, is highly translucent, and when cured for five seconds with the Bluephase 20i in turbo mode, it gets more opaque (Figs. 12-13). This makes Tetric EvoFlow Bulk Fill an excellent material as a dentin replacement and opaquer of discolored floors of preparations. The opacity prevents the finalized restorations from looking gray when placed at the correct thickness.


Fig. 12 Fig. 13
Once the flow layer is placed to idealize depth and opacity, the Tetric EvoCeram Bulk Fill layer shade IVW is placed in one increment, sculpted with OptraSculpt NG (Ivoclar Vivadent) and cured for 10 seconds per surface (Figs. 14-15).


Fig. 14 Fig. 15
The manufacturer recommends five seconds, with the Bluephase 20i in turbo mode, but in the clinical environment it makes sense to increase the cure time depending on access, light proximity and intensity variations. For Class I restorations, the occlusal surface is cured for 10 seconds.


Fig. 16 Fig. 17
Class II restorations are cured for 10 seconds from the occlusal, then the ring and band are removed and the proximal surfaces are cured for an additional 10 seconds. Both the practitioner and the assistant have Bluephase Styles and this speeds up cure times by enabling multiple teeth curing at the same time as well as multiple surfaces.


Fig. 18 Fig. 19
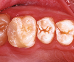
After occlusion is adjusted and restorations are finished and polished with OptraPol polishing cups and points (Ivoclar Vivadent), final radiographs and photos are taken to demonstrate the radiopacity of the material, the ideal interproximal contours and sealed margins, and its monolithic, void-free qualities (Figs. 16-20).

Fig. 20