Solea® is the secret to performing anesthesia-free, truly minimally invasive dentistry.

Prior to attending dental school and long before practicing minimally invasive biomimetic dentistry, I was a neuroscience research assistant studying brain cells associated with brain trauma at Case Western Reserve University School of Medicine. That said, scientific research and technology have always been great loves of mine.
As I started my journey, I carried the belief that dentistry and medicine go hand in hand. The vision for my practice was clear: it would embrace leading clinical research and incorporate all of the wonderful technologies we as 21st-century dentists are so fortunate to have in the palms of our hands.
Fast forward 21 years and here I am in the heart of New York City, providing dental care to patients and doing what I love most in my fully integrated private practice. But as excellent as day-to-day operations were and as good as my work was, my digital practice was still missing one last piece of equipment. Sure, I had my CEREC® and CBCT system, which I loved, but I was waiting for an advanced generation of the first Solea dental laser I read about and experienced in its debut at the 2014 Greater New York Dental Meeting. Solea was the quintessential piece of technology to complete my operatory as a minimally invasive dentist.
Trending article: 3 ways to improve case presentation
Then at the 2018 Greater New York Dental Meeting, my distributor sales representative walked me to the Convergent Dental booth to show me the laser. He put Solea in my hand, and the rest is history. Once I test drove it by meticulously peeling the outer layer of a red apple, and then using it to prepare a filling in an extracted tooth in about a minute and a half, that was it. I knew Solea was a dentistry game changer, with my “a-ha!” moment coming before performing a procedure with it.
Fig. 1

All-tissue impact
Solea is described as breakthrough laser technology that delivers an entirely unique experience for dentists and patients by virtually eliminating anesthesia, pain, bleeding and post-operative discomfort. After adopting Solea-or as I call it, my “Ferrari”-and using it in my practice for the last few months, I can say it does exactly what is promised.
Prior to the miracle laser, I was using a diode laser for my soft tissue procedures. After replacing it with Solea, the difference is unbelievable. In learning about Solea’s 9.3 µm wavelength, I understand why it’s able to glide through gingiva with such control and precision. My former diode had a wavelength of somewhere between 810 nm and 940 nm and would pull through tissue, leaving it frayed and tattered. Since Solea, my gingivectomies, frenectomies, operculectomies and more are unbelievably simpler to perform and I’m able to predict the outcomes every time.
The unique benefits of using the all-tissue laser not only affect how I handle soft tissue but also hard tissue. As a restorative dentist, Solea dramatically transforms operative dentistry. It prepares teeth, both enamel and dentin, to the precision of cutting 20 percent of one micron, which translates to 200 nanometers. That is the game changer. What previous instrument do we have with the precision of 200 nm?
Solea allows for easy transition of prepping enamel and dentin caries. Subgingivally, you’re able to perform a gingivectomy or caries removal by easing your foot off the variable speed foot pedal. In the same way we use our air-driven handpieces, we point Solea onto the soft tissue to gently trim and scallop the gingiva. Solea also can easily perform crown lengthening surgeries that require dentin, enamel and bone work.
Continue reading on page two...
For crown preparations, the interproximal gingivectomy is performed with the same instrument in your hand and you never have to look up to change settings. Again, the cutting is all thanks to the 9.3 µm wavelength, which works in a unique way to reach the peak level absorption of hydroxyapatite. This means it literally vaporizes patients’ enamel, allowing for fast and precise cutting I’ve never experienced before, not with another laser and most definitely not with traditional instruments.
Solea promotes a seamless workflow transition in daily operative restorative dentistry. Another benefit I love is being able to prep exactly where I need to on the tooth, which helps preserve healthy tooth structure. Specializing in minimally invasive dentistry, I can finally admit I’m truly minimally invasive now. This alone is huge for my practice and how I approach procedures.
Removing anesthesia from the equation
As impressed as I am that Solea replaces the use of a 1 mm bur to keep tooth preps as concise and close to the affected area as possible, I’m equally-if not more-blown away by the anesthesia-free dentistry I can now perform.
Before experiencing Solea for myself, I was incredibly intrigued by the idea of a laser that could totally eliminate the need for anesthesia in most cases. As we know, anesthetizing patients is a major obstacle that blocks the dental experience from being all it could be. Making the initial injection, waiting for it to take effect, and then having to potentially reinject, while calming patients, adds steps I’d prefer not to take. But with Solea, there’s no need to give these frustrations another thought because anesthesia is no longer a factor.
Solea has been part of my practice since December, allowing me about five months to use the technology. With restorative work alone, Solea is what I reach for. There’s no other tool that does the job. That said, since first use of Solea, I’ve done about 400 fillings and numerous crown preparations and only anesthetized three patients. This is practice-changing and why I predict Solea will be part of every operatory within 10 years.
Anesthesia-free patient case
In the following case, a 33-year-old female presented to the practice in 2016. She had a complex medical history with a very delicate electrolyte imbalance from her history of bulimia from ages 14 to 20. Additionally, the patient can’t have anesthesia with epinephrine due to medication contraindications. Solea was used to prep and restore the lower right quadrant of her mouth anesthesia-free, while her upper left quadrant with four restorations took almost two hours to complete with traditional dentistry in 2016.
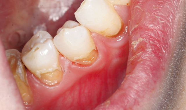
In January 2019, the patient presented with the lower right molar having an old, broken and missing filling as well as multiple Class V caries on the other teeth (Figs. 1-2). I explained we now have the Solea dental laser and wouldn’t need to anesthetize. She was delighted beyond belief since one of her biggest anxieties is needle phobia due to constant medical testing.
Fig. 2


Fig. 3Fig. 2
To start, I prepped the entire molar for a crown with Solea and applied an immediate dentinal sealant to the dentin. Then, I scanned for the GC CERASMART® crown that was chairside-designed and sent to the CEREC milling machine. Meanwhile, teeth #27b, 28b and 29b were prepared for composite restoration (Fig. 3).
Continue reading on page three...
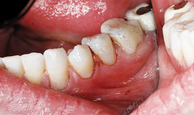
Everything was completed anesthesia-free with Solea (Figs. 4-5). Each procedure performed, including placement of the new crown, took a little more than an hour (approximately one hour and 20 minutes).
FIg. 4


Fig. 5FIg. 4
If traditional dentistry was used with the appropriate anesthesia and I didn’t have CEREC in the operatory, the visit would’ve taken much longer and a second appointment would’ve been scheduled. Solea allowed me to work quickly and complete every step without anesthetizing the patient. By using Solea in combination with CEREC, I was able to eliminate the need for an additional visit.
The dental experience transformed-for me
From my perspective, dentistry has been changed forever since adopting the Solea dental laser. Procedurally speaking, my job is simpler: I accomplish more per day and the results go beyond my expectations.
I’m able to accommodate more clinical scenarios-hard- or soft-tissue-related-and provide even better care when it comes to the procedures I’ve been performing all along. From crown lengthenings and fibroma removals to implant uncovering procedures and essentially every restorative procedure there is, I’m able to do it all anesthesia-free in most cases.
In respect to what Solea has done for my practice productivity and efficiency, I’m not sure I can put into words what a difference it has made. Without anesthesia for the majority of my procedures, there’s no waiting time. I walk into the room, greet my patient and get to work. This not only lets me see more patients throughout the week and month, but it also lets me make the most of my time, which makes me more efficient and ultimately the best dentist I can be.
Trending article: Break out of your restorative rut
My staff and I also developed a new scheduling protocol where we no longer plan out our days so stringently. For instance, instead of dedicating one day to fillings and another day to more complex procedures, I can combine them. This advantage takes stress off of my staff, me and, in turn, my patients who are more likely to get appointment slots that accommodate their personal schedules.
The dental experience transformed-for patients
As important as it is for me to run a successful business, it’s just as vital to develop relationships built on trust with my patients. Solea facilitates this by creating anxiety-free visits, removing any trace of fear and worry from the dental experience.
They’ve always known the kind of dentistry I provide, but now when they walk through the front door, they’re glad it no longer includes pain from the needle, that awful “whirring” sound of the drill, blood and discomfort.
Located on West 54th Street in the city that never sleeps, I’m used to the hustle and bustle and so are my patients. They love fast-paced living and tend to want their dental appointments to match it. Using Solea, I’m able to treat patients whose schedules sometimes only allow for lunchtime appointments. They want to come in, receive treatment and get right back to the office. Solea makes this possible because, without anesthesia, there’s no unnecessary time spent in the chair, no numbness and no pain.
My patients love this new breed of dentistry because it satisfies their needs and allows them to get back to pounding the pavement. As soon as they leave, they’re ready to take calls, attend meetings, or just enjoy a bite to eat at their favorite spot. Patient experience before versus now with Solea: there’s no comparison.
Solea, the next practice standard
Behind every dentist is a distinct journey that has led him or her to where he or she is now. Each one of our philosophies is different, as are our careers, but at the end of the day we all want to deliver the best possible care and make our patients happy.
After using Solea for less than a year, I can tell you that if you make the same decision I did, you’ll find dentistry is a brand-new kind of fun. You may also find yourself smiling more when your patients stop wincing and start saying, “Wow! This laser is so ‘Star Trek-y!’” or “I can’t believe I took a nap during my filling!”