Why Catapult Group evaluators say this cement from BISCO is worthy of being used in their own practices.

So many cements, so little time. There are many excellent cements on the market today, but with many being so similar in appearance and performance, it’s hard to tell the difference. To look at it another way, there are many self-adhesive, dual-cure resin cements that you could hardly tell apart if there was no label. Some a little more viscous, some a little more translucent, some with a little slower set time - all very similar in most things that matter clinically.

The evaluators at Catapult Education clinically tested and reviewed a novel self-adhesive, calcium- and fluoride- releasing1, dual-cure resin cement, TheraCem® (BISCO). One hundred percent of evaluators said it was a cement worthy of use in their own practice. The most common features the evaluators liked the most were cleanup, handling and ease of use. Ninety-one percent of the evaluators said its consistency was just right, with 82 percent giving it a top score for ease in cleanup.
An important consideration with TheraCem that distinguishes it from much of the cement market is its high calcium and fluoride release. As one evaluator put it, “Probably the best everyday cement in dentistry today. It’s easy to clean up, making it great for implant crowns. Its esthetics and simple delivery system make it perfect for routine indirect restorative … all this with high calcium release.”
With zirconia and lithium disilicate dominating the indirect restorative market today, clinicians are looking for a versatile, esthetic, self-adhesive luting material that gives great long-term performance with either material. TheraCem comes in a “natural” shade, which is a somewhat opaque-looking luting material and, depending on the thickness and translucency of the restoration, could influence the shade. As someone who has used this cement in just under 500 units, this practitioner hasn’t seen this as a clinical issue.
Clinical case
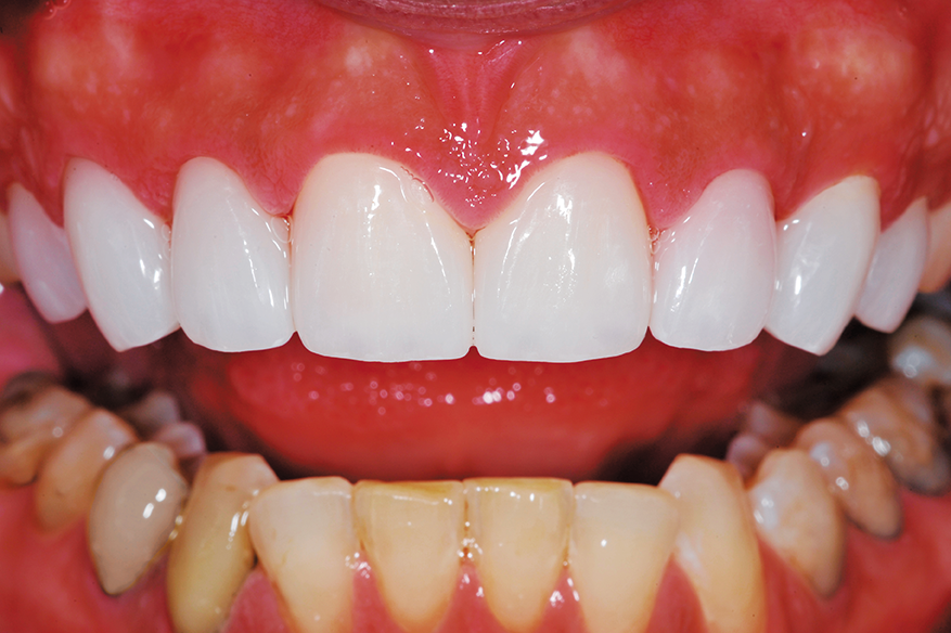
In this case with rampant decay, strength and esthetics with marginal integrity for a reduced chance of recurrent decay are all critical (Figs. 1-2). After restoration of posterior teeth using silver diamine fluoride and other regenerative restorative materials, the maxillary anterior teeth were restored.


Fig. 1 Fig. 2
Eight monolithic anterior zirconia crowns were made with no layering porcelain (Fig. 3). Note that this zirconia has noticeably more translucency than traditional posterior zirconia materials and can be seen through these restorations while on the model. The restorations where tried in and rinsed. Phosphates and proteins from blood, saliva and crevicular leakage lessen the bond to zirconia and a nonabrasive cleaner is preferred for maximum adhesion (Fig. 4).


Fig. 3 Fig. 4
ZirClean™ (BISCO) was applied to each restoration, rinsed and air dried (Fig. 5). The teeth were cleaned, isolated and filled with TheraCem (Fig. 6).


Fig. 5 Fig. 6
After placement, the chemical cure was allowed to happen for about 90 seconds, excess cement removed and then light cured (Fig. 7). The easy cleanup makes this material unique in the self-adhesive, dual-cure resin cement world and the majority is removed in large pieces (Fig. 8). Even with the very translucent zirconia, the influence of the cement is minimal, even at the margins.


Fig. 7 Fig. 8
Notice also that the ease of cleanup results in thorough cement removal; this photo is minutes after placement (Fig. 9). The high calcium and fluoride release provides a number of benefits that may ultimately result in longer lasting restorations given each particular case (Fig. 10).


Fig. 9 Fig. 10
BISCO has developed a great product in TheraCem, and for this reason, we are pleased to give it the Catapult Vote of Confidence. It truly is a cement that distinguishes itself in its category particularly in the zirconia and lithium disilicate world.
Reference
1. Gleave CM, Chen L, Suh BI. Calcium & fluoride recharge of resin cements. Dent Mater. 2016 (32S):e26.
