Catapult Education members evaluate this gum disease treatment device.

If you’ve ever referred your periodontal patients to a specialist only to have mediocre result upon return, then you know periodontal referrals can be a lose-lose situation, both for you and your patients. We have been scaling and root planing teeth as an initial form of therapy for decades. While this technique has proven effective in the short term, success often does not hold up over time. We try to maintain our most difficult or even refractory periodontal patients with six-week to three-month maintenance. Even with this frequency and attention, we have patients who continue to breakdown.

As a periodontist, I have tried just about every method of treating periodontal disease that makes scientific sense. The key to success is long-term maintenance. Approximately half of patients initially treated for periodontal disease adhere to three-month maintenance, and those who comply and have the most meticulous home care routines still return with both residual probe depths and bleeding on probing. Then there are those patients referred to my office and have four quads of osseous surgery or laser surgery who must be maintained.
Perio Protect is the one treatment that I have utilized in the last two years that works. After any comprehensive periodontal examination, part of my recommended treatment protocol includes Perio Protect. The Perio Tray® delivers a 1.7% hydrogen peroxide gel deep into periodontal pockets to reduce inflammation and infection. Patients use the trays in 10- to 15-minute increments as part of their home care.

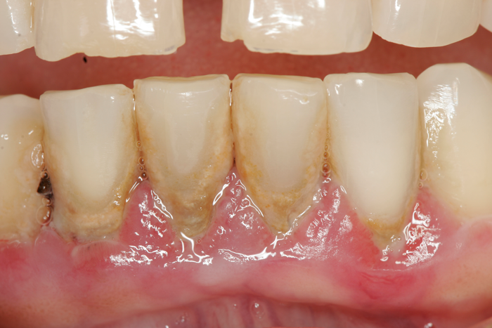
Patient’s teeth on the day of periodontal surgery.
When patients are facing surgery, they want to know that they have exhausted their non-surgical options. And when I think they might benefit from Perio Protect before surgery, I offer the technique. It is so much easier for patients to discuss and accept surgery if they know that they have exhausted their non-surgical options. As a periodontist, it is so much easier to approach a surgery when I know that the tissue is as healthy as it can be after initial prep with Perio Tray delivery.

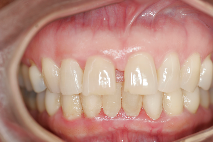
Patient’s teeth three months after surgery and the day the Perio Tray was delivered.
Perio Protect is easy for patients to use, which means high compliance and high compliance means lots of success. It has become part of my winning formula. I use it after all surgical procedures, laser procedures and initial therapy. All of my patients who need help in reducing pocket depths and eliminating bleeding on probing are treated with Perio Protect.
Catapult Education’s key opinion leaders found real results after implementing Perio Protect into their offices. The doctors were pleased with the results of using Perio Protect. Some of the comments made were that it was an excellent conduit for the education of their patients, it provided results without the use of chlorhexidine and it improved their bottom line. More importantly, Perio Protect has changed the expectations of the outcomes of their periodontal care and soft tissue management programs.

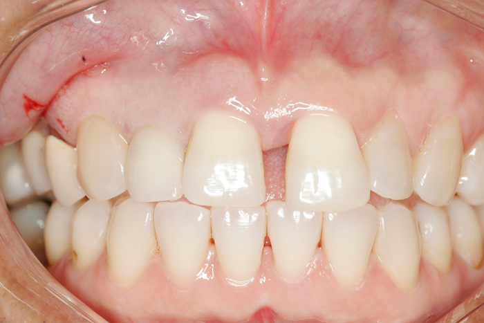
Patient’s teeth after six weeks of Perio Tray usage.
Perio Protect works around those hard-to-clean restorative cases, especially for older adults with poor dexterity.
When using Perio Protect, the Catapult evaluators found that their patients experienced:
Perio Protect is easy to use, which means high patient compliance. If you want to see a dramatic change in the outcome of your periodontal patients, implement Perio Protect into your practice. You can manage periodontal treatment with better outcomes and results. Perio Protect received the Catapult Vote of Confidence.