He’s a 30-something professional with impeccable home care, routine professional dental care and seemingly excellent overall health. He has never smoked. He eats well and gets plenty of exercise

He’s a 30-something professional with impeccable home care, routine professional dental care and seemingly excellent overall health.
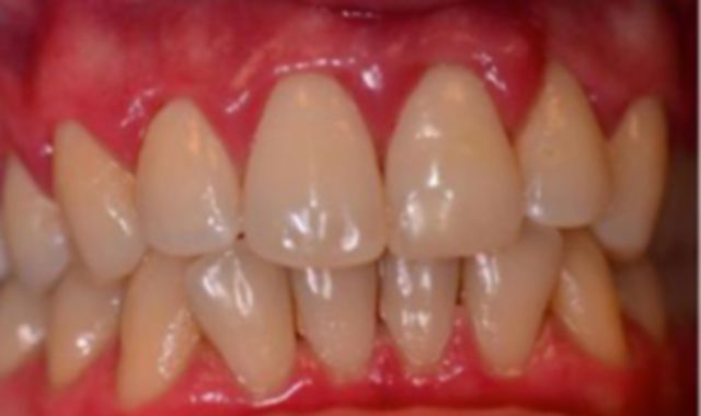
He has never smoked. He eats well and gets plenty of exercise. He does everything right. Then, one day, he is told he needs full-mouth root planing to address the severe inflammation and redness in his gums; he has been diagnosed with active moderate stage periodontal disease.
Related reading: Ignore the biofilm and calculus: It's time to think differently
“But how could this have happened?” he asks. “I have done everything right.” The usual answers are given. He is told he has a bacterial infection and tartar buildup under his gums and that a good deep cleaning is recommended. Three months later, following the first round of root planing, there is no change to his tissues. He is treatment planned for another round of root planing, and this time his insurance will not be covering it. No blood tests are performed to identify possible systemic health issues, and nothing out of the ordinary is suspected. The patient is thought to have bacterial infection. Several months after the second round of root planing he continues to have severe inflammation and redness, with moderate generalized bleeding on probing, and apparently no change to disease activity. He is referred to a periodontist.
Surely the specialist can help this patient, right?
More from the author: Bone regeneration ... in the hands of the hygienist?
Continue reading on Page 2 ...
The periodontist examines him and quickly recommends another round of root planing. He feels good to be there and feels confident that his issues will finally be solved in the capable hands of this highly qualified professional. He will pay the out of pocket expense for full mouth root planing again. In addition he will be paying for antibiotics to be placed under his gums in an attempt to better control his “infection.” Four weeks later he is re-evaluated, there is no response at all; he still has severe inflammation and redness with moderate bleeding throughout.
The fourth round of root planing is performed and more money is spent to follow some truly puzzling and insane guidance: Do the same thing over and over and expect a different result. Several months later, there is still no response and he has now spent more than $4,000 with no change to his inflammatory disease. Eighteen months have passed since his initial diagnosis of active moderate stage periodontitis with more severe localized attachment loss becoming alarming at this point.
More from the author: Exposing one of dentistry's dirty little secrets
The periodontist states there is no choice now but to schedule him for full-mouth osseous surgery. Yes, that’s right. After all, what would be better for this patient than to create more trauma, thereby accentuating the inflammatory response further, creating more attachment loss? Is it possible that performing surgery would be a disaster for such a patient? Let’s look more closely at why this is not the best solution for this particular patient and what might be a better solution.
A widespread lack of education and awareness
Sadly, the above story is not unique; it is actually very commonplace and is indeed a tragedy of misdiagnosis and inappropriate care. The tragedy is in the lack of education and the oversight all of the obvious parafunctions and systemic risk factors screaming to be noticed and treated appropriately in patients like this.
Related reading: Beware! 7 traps that are destroying your hygiene schedule
Continue reading on Page 3 ...
Most importantly, the tragedy is the enormous funds, time and energy spent on ineffective and potentially damaging treatment plans, as well as the emotional abuse and stress such patients endure every day all over the world.
Mia Angelou once stated “when you know better, you do better”. We can do better for our patients through more advanced education and awareness. Our collective unbalanced focus on local factors continues to be a serious and widespread lagging. But why? Is everyone going to the wrong continuing education courses or reading the wrong materials? Well, maybe. But the main issue is the lack of education going on in main stream CE courses and at dental and hygiene schools. One also cannot ignore the fact that this growing problem of ignorance is equally a lack of awareness and education perpetrated by the supposed leaders in periodontal medicine (the experts dental professionals turn to for advice), the periodontists.
More on hygiene: Easy ways to reinforce the "hygiene habit" in your dental patients
Moving forward with comprehensive care
Osseous surgery is a foreboding treatment plan for anyone; many in the dental profession probably cannot fathom the fear these patients face, not to mention the enormous expense and continued chronic problems they endure. What would have happened to this patient had he not found proper intervention by finding the truth about thecause of his chronic inflammatory disease? He would have had osseous surgery, eventually. Instead, this patient found clinicians who could help direct his care toward remission of disease through targeted care, without surgery.
A very specific list of blood work was performed prior to examination and treatment; a severe vitamin D deficiency was diagnosed and integrative care was promptly provided by his physician. Upon clinical examination, chronic mouth breathing (due to blocked nasal airway issues with a deviated septum), tongue thrusting, and bruxism parafunctions were easily observed. Sleep apnea was suspected due to nighttime snoring and obvious airway issues. Minimal local factors are confirmed and definitively addressed using a dental endoscope. Further integrative referral and definitive care was determined necessary with the following specialists: an ENT to address airway blockage, an orofacial myofunctional therapist to address life-long tongue thrust, mouth breathing and bruxism habits and a referral to a sleep medicine physician after proper intervention with other specialists had been initiated.
Straight from Twitter, the 20 best tweets about dental hygienists from August
Continue reading on Page 4 ...
Fine tuning it all through further targeted care
In addition to the D deficiency and rather obvious airway and parafunction risk factors, simple and affordable salivary DNA testing is performed to help determine what pathogens this patient may be harboring, as well as definitely determine his inflammatory gene profile. His pathogen profile is squeaky clean; his active disease has nothing to do with bacteria.
However, his comprehensive genetic profile (Celsus One) reveals telling information: He has several polymorphisms of his acquired immune system, with IL1, IL6, TNF-alpha, IL17A and MMP3 marking as a positive mutation for accentuated inflammation. He is a genetically susceptible individual through no fault of his own; he is termed a “hyper-responder.” When his many triggers presented (vitamin D deficiency, mouth breathing, etc.) his genes expressed with hyper-inflammation; an out of control form of chronic inflammation upregulating itself insidiously like an auto-immune disease (this scenario is evident in countless of unaware individuals being treated topically every day in the traditional periodontal treatment merry-go-round).
Related reading: The important of proper chewing and its relationship to health
For his out-of-control hyperinflammation the patient is placed on host modulated therapy (Periostat™) for a minimum of six months to help re-sett his inflammatory response while he is instructed to correct all triggers. He is also told he will likely benefit from host modulated therapy indefinitely on and off moving forward to better manage his disease due to his positive genetic profile. Thorough patient education is provided about the true etiology of his chronic inflammatory disease and how he can effectively keep it in remission long term with appropriate targeted care … he is empowered for the first time. Months later, he receives excellent news from the clinicians who initially diagnosed him; his tissues are now healthy.
What you can do
This story of misdiagnosis and inappropriate care is true and is indeed very commonplace. We can do better and we can have a lot of fun doing it! Go the extra mile to find CE courses which will teach you how to identify and treat all associated risk factors for periodontal diseases. Talk to your periodontist and/or dentist; teach them what you have learned through this case study and what you hope to learn in more advanced CE courses in the future. If your periodontist or dentist does not agree and is close minded to the information, find a new one to work with or try even harder to educate them. The dogma of local factors alone being the cause of chronic inflammation is completely inaccurate in many cases, as with this case and the millions of cases like it. Stop the insanity of your patients’ perio merry-go-round of expensive, ineffective and misguided treatments; teach your patient and those around you the truth. Hygienists, empower your patients and become their best advocate for more accurate diagnosis and appropriate care … you are in charge!
Hot read: Hey hygienists, it's time to stop blaming the patient