Massachusetts' state auditor says a pair of practices owned by the same dentist routinely performed x-rays in excess of what is allowed under Medicaid. The dentist disputes the accusations.

The owner of two Massachusetts dental practices, Hampshire Family Dental and Orchard Family Dental, is disputing a report from the state’s auditor that accuses him of overbilling Massachusetts’ Medicaid program by $290,417.
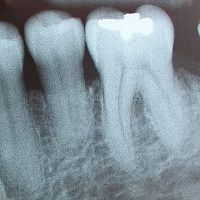
A state auditor’s report claims the practices run by Samer Tahoun, DMD, routinely gave excessive x-rays to patients and then billed MassHealth, the state’s Medicaid and children’s health insurance program.
State regulations only allow MassHealth to pay for periapical radiographs once every three years as part of a full-mouth series. MassHealth will also pay when the procedure is necessary for specific areas when a dentist anticipates extraction or suspects an infection.
However, the auditor’s report said that Tahoun’s practices ordered and billed MassHealth for these radiographs as part of routine dental exams without a full-mouth series or documentation of pain, infections, or other issues.
According to State Auditor Suzanne Bump, the two practices received a total of $5.2 million in MassHealth payments for July 1, 2010 to June 30, 2015 — the five years covered by the audit.
Bump reported that the auditors flagged Tahoun’s practice after noticing they performed more periapical radiographs than other dental practices in the state.
The practices’ claims for the radiographs represented 46% of the total billed x-rays, nearly double the 28% average.
According to a report on MassLive.com, Tahoun criticized the auditors for not “sampling a statistically relevant sample of his cases.” He said he and his staff “perform the x-rays when patients complain of pain and discomfort.”
Tahoun also said his patients are at a higher risk of dental problems due to poor diet and health, lack of exposure to fluoridated water, and other causes.
Bump reported in a statement, “MassHealth must now recover the improper payments made to these offices and decide whether further action should be taken against Dr. Tahoun. Additionally, MassHealth should take steps to identify these wrongful patterns of practice more quickly.”