After careful consideration of both professional and patient objections to the treatment solutions offered to solve cosmetic dentistry problems, a new direct veneer system was developed.

During the past 25 years, there have been game-changers in cosmetic dentistry, such as the introduction of porcelain veneers to the dental profession in the fall of 1983. However, in this author's experience, nothing has changed the practice of cosmetic dentistry as much as the new ProVeneer System.
Here’s how ProVeneer is benefiting our patients and how it can benefit your practice and patients as well.
As you undoubtedly know, porcelain veneers are invasive, often requiring placement of 6-10 veneers and can take from 2-3 visits until you finally cement the veneer. Additionally, the high fee associated with porcelain veneers results in many patients hesitating to have work done.
On the other hand, direct veneers are typically less invasive and are more affordable but they also have issues.
Must-read: Part 1 of a new e-book series on adhesives
Concerns include stain/wear, the need to place dentin, enamel and incisal shades, the time required to sculpt, shape, polish and deal with potential porosity, including struggling with composites that stick to our plastic instruments and gloves.
Cutting-edge technology leads to rapid growth
In light of the above issues, there is light at the end of the tunnel.
This author has found that advances in direct veneer systems are changing the cosmetic dentistry landscape. One system in particular, ProVeneer, solves the majority of issues listed above.
With new direct veneer technology, dentists have the tools to do same-day cosmetic dentistry and create natural looking veneers using a resin-based foundation material that does not stick to your gloved fingers or plastic instrument.
HOT READ: 7 things your practice needs to know about the new Facebook business page
As you work with this new generation of direct veneers, you will notice that you won't need tints or opaques in 90+% of cases. Also, there is no need to add bulk of composite due to placing dentin, enamel and incisal shades (the veneer can be as thin as .1mm while remaining fracture resistant), finishing and polishing is simple and only takes minutes to obtain an enamel-like luster. The emergence profile is seamless without conventional finishing and polishing procedures that cause gingival bleeding. You don't need to purchase additional equipment or expensive startup kits. Final results are achieved before committing to having work done with patent-pending Smile Preview Veneers (how wonderful is that!). The procedure is non-invasive and the cost for a smile transformation is affordable to patients.
Read more on the next page...
Cosmetic Dentistry Solutions and Their Inadequacies
Over the years, you undoubtedly have tried several systems to solve your patients’ cosmetic dentistry problems. Some of the challenges of these systems include the following:
Porcelain Veneers:
Tooth preparation, multiple appointments, often 6–10 teeth, sometimes appears unnatural to patients. Also expensive.
Pre-formed Veneers:
Tooth preparation is complex and not easy to do, requires impressions/stone models, a lot of work to adapt and shape margins, emergence profile issues. There can also be finishing/polishing issues and compromised esthetics.
Direct Veneer Technique:
Conventional tooth bonding is technique-sensitive and time-consuming (45-60 minutes per tooth). It’s difficult for the average practitioner (3-5 layers), esthetics are a challenge and there are stain and wear issues.
Template Technique:
Porosity can occur (hard to correct), there is no oxygen-inhibited layer (thus hard to add to). There can also be cementation issues (if you are not careful when you cement the veneer it could be moved resulting in a crooked smile) and thickness issues.
After listening to dentists at meetings and during on-site consultations, we learned that many dentists were eager to try a new direct veneer system if it meet the following requirements: looked natural, easy to place, did not stick to gloves or instruments, not complicated, done quickly without disrupting their general practice schedule, was not bulky, did not irritate the gum tissue, and was affordable to patients and doctors.
Dentists also wanted to know if a veneer system solve the three main concerns patients have about cosmetic dentistry:
1. It is too expensive
2. It is invasive (patients often say, “I may not like the appearance of my teeth but I don’t want them filed down just so they can look better”)
3. Will the final results look natural, looking as if the patient was born with this gorgeous smile?
After careful consideration of both professional and patient objections to the treatment solutions offered to solve cosmetic dentistry problems, a new direct veneer system was developed. The following Competitive Matrix should help summarize the current state of the art in cosmetic dentistry.

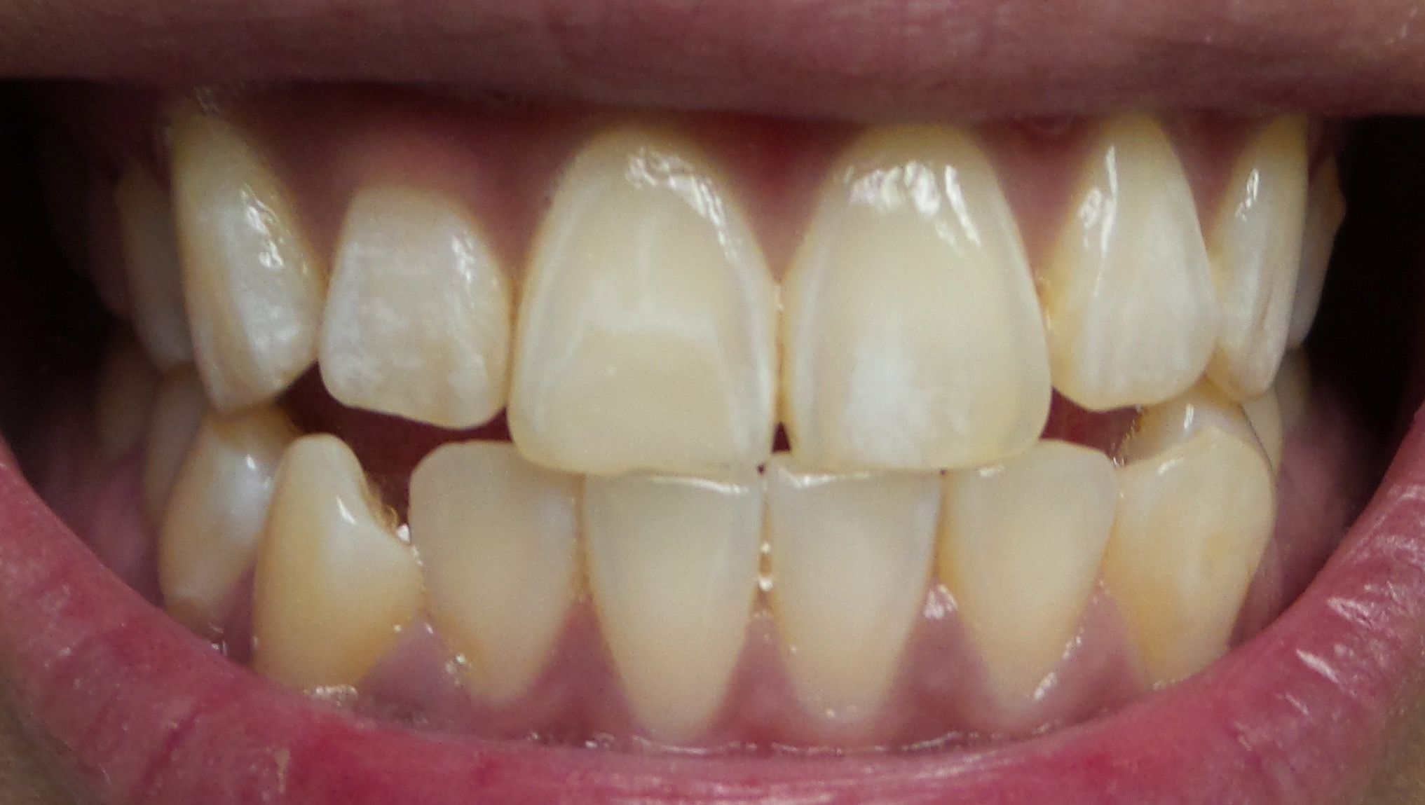
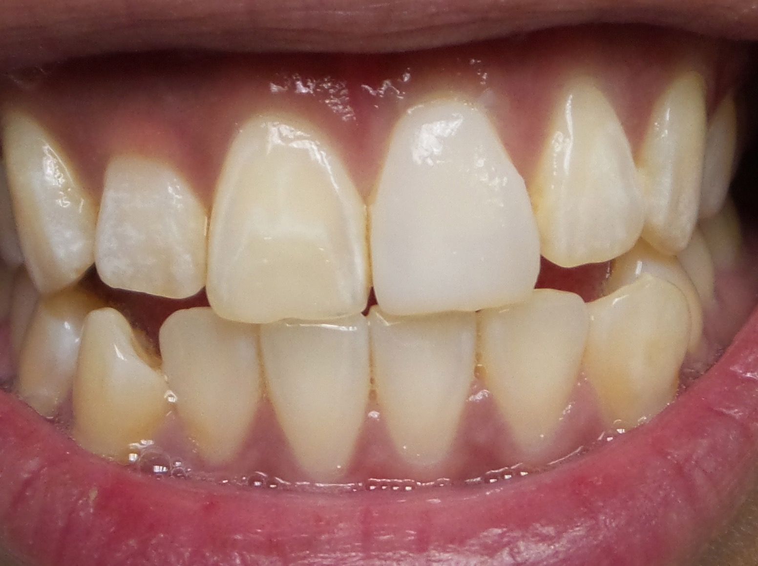
The following photographs demonstrate a case where the ProVeneer System achieved the final results before the patient chose to have work done. It also demonstrates how the micro-thin veneers look once taken off the tooth as well as how the patent pending Smile Preview Veneer blocked out the underlying hypocalcification spots (without requiring tooth reduction, tints or opaquers) and still maintained translucency to achieve a natural looking smile. The Smile Preview Veneer was custom made in minutes per tooth. An additional advantage to the patient was that instead of doing eight to 10 veneers, by combining a few ProVeneers with in-office tooth whitening, the patient left with a radiant, self-confident smile that was very affordable (see photo at top of page).



As one patient put it after seeing a Smile Preview Veneer made on her teeth, “This is what I have always wished was available!” You can appreciate why patients become excited about this breakthrough in cosmetic dentistry after experiencing the new state-of-the-art in direct veneers due to the breakthrough associated with the Smile Preview Veneer.
During ProVeneer webinars, one question always remains: How well does it polish?
Dr. Robert Wolf, a cosmetic restorative dentist from Illinois who recently used ProVeneer, said, “It’s the most phenomenal material I ever used in 35 years dong direct veneers. It polishes like nothing I have ever seen in my life. The color's so incredible. When you look at the pictures, you will go WOW!”
STUDY: The relationship between selfies and brushing
Dentists have reported that this direct veneer system can achieve better, more natural-looking veneers. By custom making a Smile Preview Veneer, the dentist can also determine if the chameleon like ability of ProVeneer allows for placement of only one to a few veneers, helping the patient afford the procedure.
Another benefit of this direct veneer system is the associated patient education program which uncovers changes patients would like to have done that you may not be aware of. This is seamless with your dental hygiene patient education program. Once that is determined, you will find it is easy to generate patient enthusiasm about having a direct veneer done, often that same day. You will find that the beneficiary of the ProVeneer System will always be your patient as you, too, enjoy a resurgence in your cosmetic dentistry practice.
You can learn more about this new direct veneer system at www.pro-veneer.com or feel free to reach this author at HS@EasySmileDentistry.com if you have any questions.
Disclaimer: Dr. Harvey Silverman receives products from Silmet and acts as a consultant to the company. In writing this article, Dr. Silverman did not receive compensation.