Researchers from Australia and Chile collaborated to uncover potential cause of a condition impacting 1 out of 5 children around the globe.

A study published in the journal Frontiers of Physiology might mark a turning point the dental industry’s 100-year struggle to help children with chalky tooth enamel.
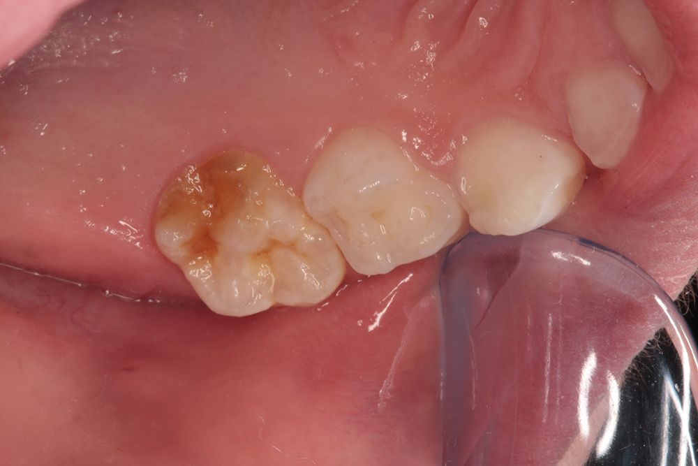
The condition known as molar hypomineralization—which causes discolored enamel spots and can lead to toothaches, decay, and abcesses, as well as leading to extractions or orthodontic issues—impacts 1 out of every 5 children worldwide. The D3 research team based at The University of Melbourne, Australia, and researchers at the University of Talca in Chile collaborated on the paper that outlines the concept that chalky molars are caused a protein found in blood.
The researchers now believe that albumin—a protein found in both blood and the tissues surrounding developing teeth—can contaminate those developing teeth, causing the chalky spots in the enamel. The theory fits with evidence that the chalky spots are localized issues and found throughout the patient’s entire set of teeth. The research also calls into question the prevailing theory that defective enamel-forming cells caused the condition.
The paper theorizes that the initial cause of this albumin leakage might be routine baby illnesses, and their findings call for further study to determine if this or something else is the trigger for chalky molars.
Finding the cause of this condition is a key because currently it cannot be prevented, but treatment is easier and more successful when these molar issues are discovered early. This is critical as chalky molars are 10 times more likely to suffer from decay as are teeth with healthy enamel.
Researchers are excited about their discovery because it could be a major breakthrough and a significant step toward finding a solution for a dental problem that has frustrated clinicians since researcher Bernhard Gottlieb first reported on the issue in 1920.