The company has launched software and hardware updates to enhance CBCT imaging, intraoral scanning and implant workflows.
New DTX Studio™ Clinic Software Serves As the Unifying Software and Central Hub of the DEXIS Ecosystem | Image Credit: © DEXIS

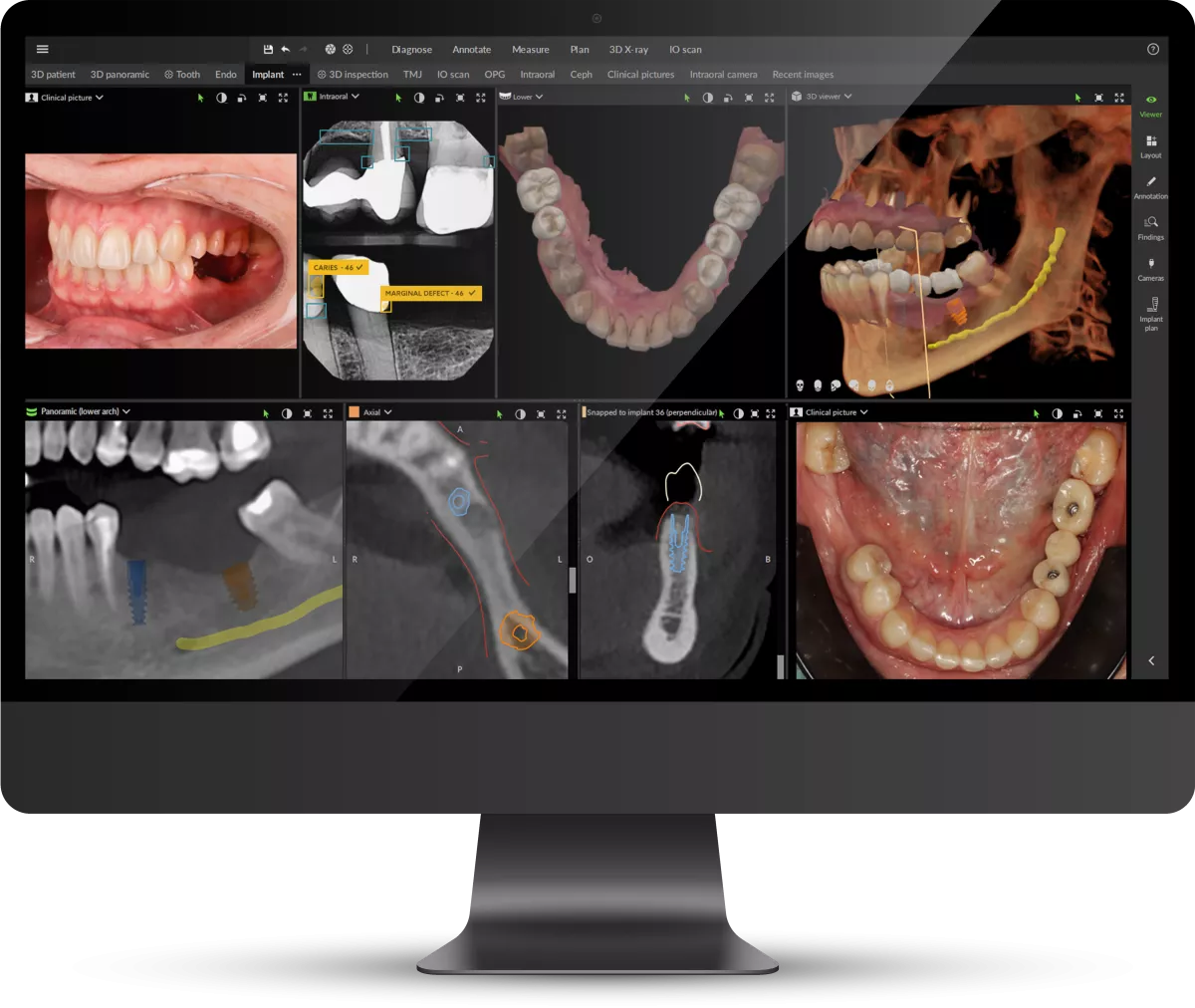
One of 3 significant product launches by DEXIS at the recent ADA SmileCon, DTX Studio™ Clinic v.4.3 software stores and manages all patient data as well as helps clinicians execute each step of the implant process from diagnostics to delivery.
Serving as the unifying software and central hub of the ecosystem, DTX Studio Clinic’s new functionality allows clinicians to plan an implant treatment and generate a surgical guide chairside–all in less than 3 minutes. Clinicians can virtually extract teeth, adjust photorealistic abutments and crowns, and create an automated surgical template that can be sent to a lab or produced in-house for same-day delivery, the company states.
The new software release will provide advanced tools to plan and execute same-day, prosthetically driven implants, according to DEXIS, and it improves how practice’s work in all aspects–communicating with patients, implant planning, and treatment team collaboration.
Additionally, DEXIS’ intraoral scanning software update offers scan quality and usability improvements as well as clear visualizations of progressive dental issues over time, through a new tool called Oral Compare. The software’s new integration with SmileFy allows for the ability to simulate treatment outcomes chairside designed to give patients further confidence in proposed treatment plans. Clinicians also can access their intraoral scan data through a newly launched Cloud solution–DEXIS IS Connect Cloud.
Also at ADA SmileCon, DEXIS announced an expansion of its digital ecosystem to include the new DEXIS ORTHOPANTOMOGRAPH™ OP 3D™ EX imaging system.