Why G-ænial Sculpt from GC America is an ideal choice for dentists faced with restoring teeth.

It is not uncommon for dentists to encounter young patients who present with Class IV anterior tooth fractures that result from a traumatic injury. In such instances, when the need for minimally invasive and conservative treatments are equally important to durability and esthetics, the use of direct restoratives and adhesive techniques can help to ensure success, rather than compromises.
Achieving esthetic and functional success when reattaching a fractured tooth segment is predicated on establishing a secure bond between the two tooth substrates. However, not all adhesive bonding agents and resin cements demonstrate the same capabilities or compatibility with different restorative materials. Fortunately, a truly universal dual-cure adhesive resin cement, G-CEM LinkForce™ (GC America) simplifies the secure reattachment of fractured tooth fragments, regardless of whether self-curing or light-curing is required. When used in combination with an 8th-generation universal adhesive bonding agent, G-Premio BOND™ (GC America) - which is compatible with all etching techniques (e.g., total-etch, self-etch and selective-etch) - dentists can restore Class IV fractures while reducing the risk of postoperative sensitivity, discoloration and future signs of restoration wear.
Trending article: Outside the box cosmetics for outside the guide results
Among the esthetic direct composite materials available to achieve life-like and natural esthetics is a universal nano-hybrid composite, G-ænial Sculpt® (GC America). Demonstrating an ideal viscosity, optimal sculptability and excellent polishability, this nano-filler-based composite is an ideal choice for dentists faced with restoring teeth to which a fractured tooth segment has been reattached. Indicated for direct Class I, II, III, IV and V restorations, wedge-shaped defects and root surface cavities, and direct veneers and diastema closure, this non-sticky and compactable composite is available in a wide range of shades (17 shades, including opaque and enamel) to create chameleon-like esthetics that blend invisibly with surrounding natural dentition.
Case presentation
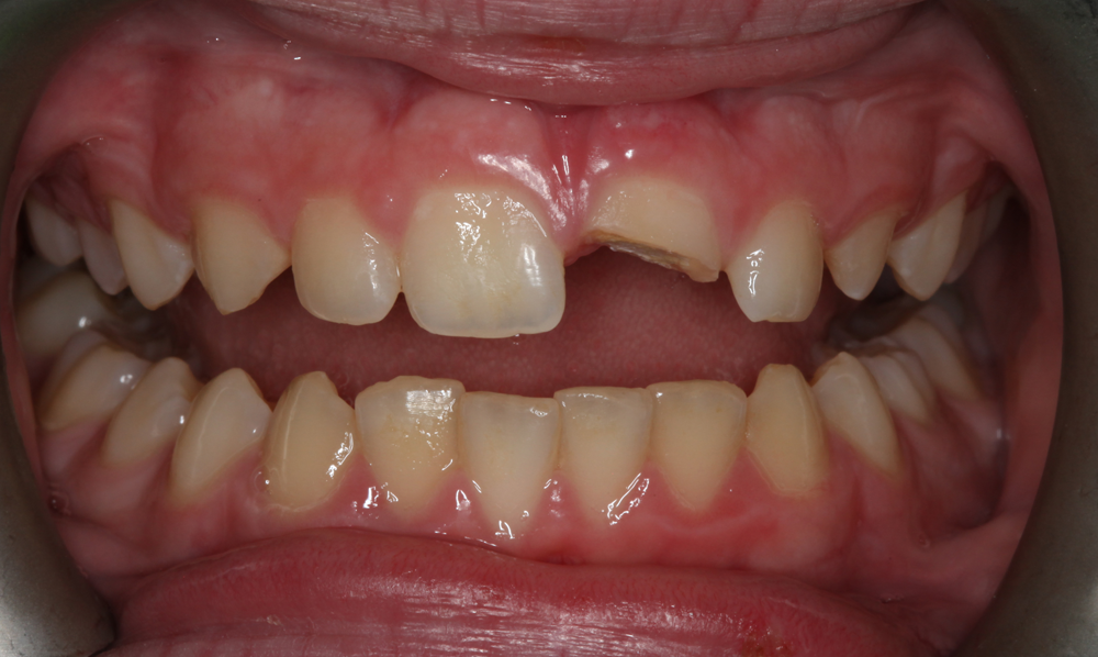
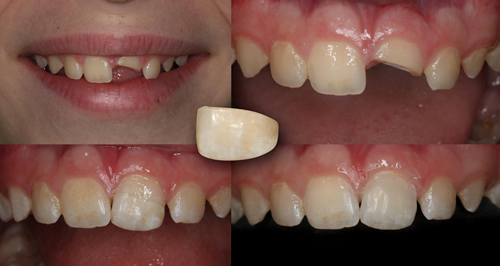
A 12-year-old male presented for a consultation for the restoration of the maxillary left central incisor (tooth No. 9), which was fractured when the patient was hit with a hockey stick while playing in gym class at school (Figs. 1 and 2). The patient had undergone endodontic treatment performed by an endodontist to stabilize the tooth one week earlier, and his parents were referred to the author via the American Academy of Cosmetic Dentistry (AACD) website.


Fig. 1 Fig. 2
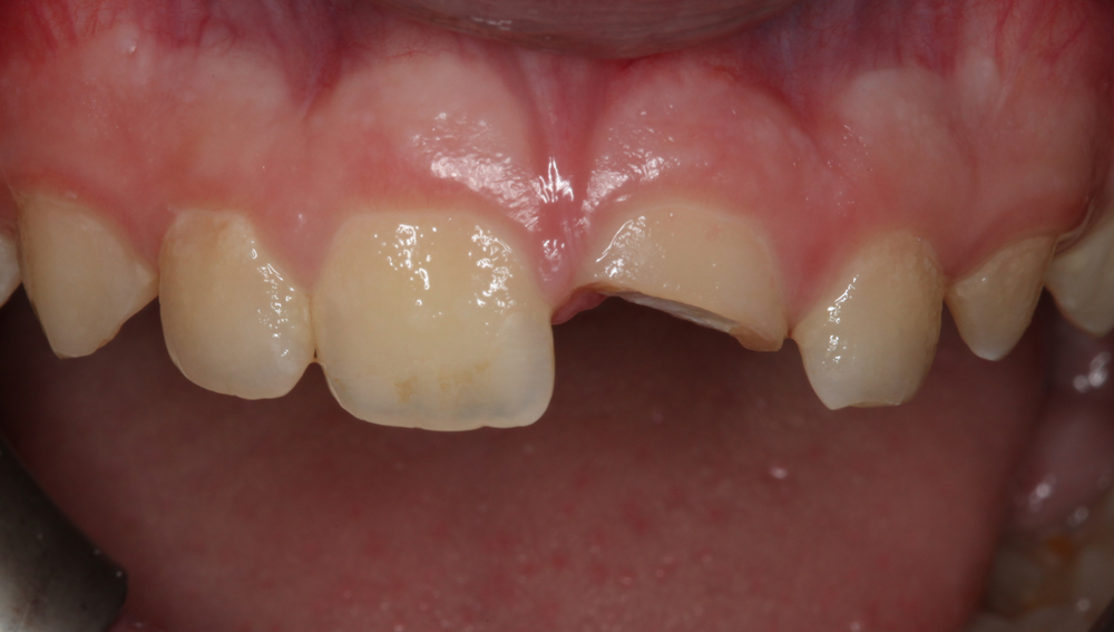
Fortunately, the patient’s mother had retained the missing, fractured tooth segment (Fig. 3). Therefore, the treatment plan discussed with and accepted by the patient’s parents involved reattaching the fractured tooth segment using a universal dual-cure adhesive resin cement, G-CEM LinkForce, after which a compactable universal nano-hybrid composite, G-ænial Sculpt would be placed to directly veneer the facial and palatal surfaces of the tooth to mask the fracture line (Fig. 4).


Fig. 3 Fig. 4
Continue to page two to read more...
Preparation
The tooth fragment was microetched with 50 µm aluminum oxide particles as well as phosphoric-acid etched. Both the tooth preparation and fragment were then cleaned and lightly air dried. A gingivectomy (i.e., with no ligament attachment) was performed using a diode laser, SiroLaser (Dentsply Sirona), to retract the tissue in the subgingival area of the fracture.
Adhesive protocol
A one-bottle, 8th-generation universal adhesive bonding agent, G-Premio BOND with Dual Cure Activator (DCA), was precisely applied to the tooth preparation and fractured segment in a 1:1 ratio, allowed to set for 20 seconds and air dried for five seconds to quickly dissipate the solvent. No scrubbing was required. The adhesive was air-dried for five seconds, after which it was light cured for 10 seconds. The dual-cure activation of the bonding agent was ideal in this case given the difficulty of ensuring that the curing light would penetrate well into the dentin area of the fracture.
Read more: I Use That: G-CEM LinkForce
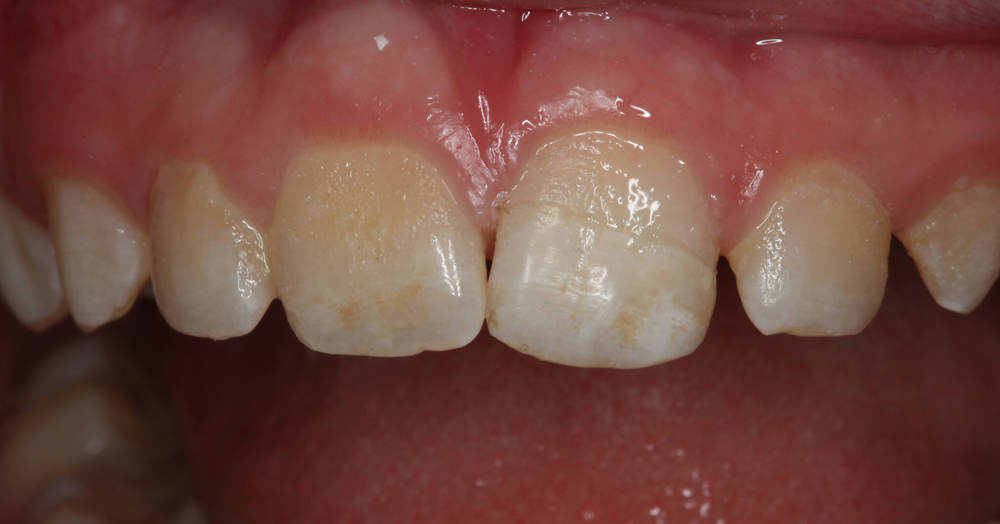
Next, a universal dual-cure adhesive resin cement was extruded directly onto the fractured tooth segment, which was immediately seated intraorally onto the tooth preparation and pressure maintained. The tooth segment was then tack cured for two seconds, which facilitated easier removal of excess resin cement. The reattached tooth fragment was then light cured on each surface for 20 seconds (Fig. 5).


Fig. 5 Fig. 6
Direct veneer application
After cementation of the fractured tooth segment, tooth No. 9 was prepared by creating a full wrap-around bevel (e.g., facial and palatal) using a 30 µm fine grain, egg-shaped diamond bur in a high-speed handpiece. A glass fiber post, FibreKleer™ (Pentron), was placed using a resin modified glass ionomer luting cement, GC FujiCEM™ 2 (GC America), to provide internal structural reinforcement to the reattached fractured tooth segment.
To mask the fracture line and create seamless blending with the adjacent natural dentition, a single layer of an easy-to-shape and -place composite, G-ænial Sculpt in shade A2, was applied to both the facial and palatal surfaces of tooth No. 9 using a composite placement instrument. The material’s optical properties, which produce an excellent chameleon-like shade match and blending effect with surrounding tooth structure, would help to ensure a natural esthetic effect.
Continue to page three to read more...
The composite’s non-sticky and packable viscosity enabled efficient shaping and precise adaptation of the material to the reattached tooth fragment and preparation as well as sculpting of the surface morphology, since it maintained its shape prior to polymerization. The composite layer was light cured for 20 seconds on each surface, with care taken to ensure the light remained as close to the composite surface as possible.
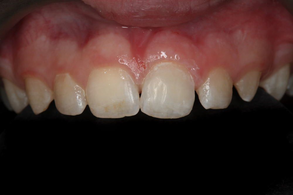
Anatomical details were finalized, and finishing and polishing were completed using a finishing and polishing kit, The Ultimate F&P Kit (GC America). The selected composite’s barium glass fillers made it easy to achieve a superior polish and high gloss, and rough finishing with a bur was all that was required to bring the restoration to an esthetic luster (Fig. 6). The occlusion was then verified.
Trending article: 14 things dentists should look forward to in 2018
Interestingly, the polish achieved in the restoration would increase in the mouth with daily tooth brushing (i.e., self-shining/polishing effect). Additionally, not only did the selected composite facilitate efficient sculpting, but its high-density, uniform dispersion nano-filler technology would contribute to a strong and highly wear-resistant anterior restoration.
Conclusion
As demonstrated in this article, teeth to which a fractured tooth segment has been reattached can be predictably and esthetically restored with minimally invasive techniques when proper adhesive protocol and advanced direct restorative materials are used (Fig. 7). Essential to achieving these objectives is selecting truly universal materials on a case-by-case basis that can be placed easily and precisely, demonstrate predictable bond strengths and facilitate replication of life-like esthetics, particularly blending with adjacent natural teeth. In this case, the combination of G-Premio BOND, G-CEM LinkForce and G-ænial Sculpt helped to reduce procedural challenges, increase efficiency and enhance clinical efficacy.

Fig. 7