No matter how advanced digital dentistry gets, nothing can replace well-utilized optimized VPS materials.
Today’s dentists are looking for quicker, faster, more convenient and cost-effective ways to do dentistry. Digital dentistry is also beginning to take hold of many practices and impression scanners are one of the most sought-after technologies.
However, due to costs and the fear of being outdated too fast with upgrading technological advancements, many clinicians still prefer to use traditional techniques. Many dentists are simply more comfortable with traditional Vinyl Polysiloxane impression materials (VPS) combined with a technique that works well for them.
Related article: 5 ways that traditional impressions can go wrong

Once proper preparation design, tissue management and isolation are managed, it simply becomes the choice of material that you are comfortable with to achieve successful results in a timely fashion. Most VPS impression materials can achieve the results we look for in terms of accuracy, but each clinician has his or her own personal biases that determine which product he or she chooses - costs, setting time, color, tear strength, stability and hydrophilicity all play a role.
Although my practice is primarily based on digital impression scanning, there are times that I like to use a traditional VPS with one of my labs. VOCO has introduced a new generation VPS material that has excellent dimensional stability, tear strength, and optimized working and setting times that suit my everyday needs. V-Posil Mono Fast is the monophase VPS viscosity with optimized timing parameters. It provides up to two minutes of flexible working time as well as a shorter two-minute thermo-activated set time. My lab likes the fact that it offers exceptional tear strength and dimensional stability that provide accurate stone models to fabricate their restorations.
Continue to page 2 to see the VPS materials in action...


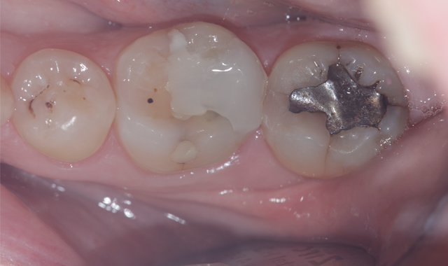
Case #1
A 77-year-old patient presented with a crown that had come off of tooth #30. The full gold crown was placed on the endodontically treated tooth for more than 30 years. The tooth was periodontally stable with localized recurrent decay. The use of a caries dye indicator was used and the existing core and caries were removed. A foundational core was placed and the tooth was prepared for a new porcelain-fused-to-metal crown. A single cord technique followed by retraction paste was used to manage the tissue. The final impression was made using V-Posil Mono Fast and V-Posil X-Light Fast (VOCO) impression material and a metal framed triple tray.


The impression was left in place for two-and-a-half minutes before removal. A bis-GMA provisional was placed during the time the lab was given to make the final restoration. A porcelain-fused-to-metal crown was chosen as the definitive restoration to match the rest of this patient’s crowns. On delivery, a final radiograph was taken to verify fit of the restoration, which looked well adapted on the working model. The final crown was well-fitting and cemented with a resin modified glass ionomer cement.




Case #2
The second clinical case involves a 62-year-old female who presented with symptoms of a cracked tooth on the lower right first molar. A partial cover crown was considered, but due to the discovery of a crack it was deemed that full coverage might be a better option. The patient preferred a ceramic option and considering the inter-occlusal clearance, a zirconia crown was planned. Since a VPS impression was used for the final impression, it was important to have a material that would provide accurate details. A milled zirconia crown would require the lab to scan an accurate model; for that reason V-Posil Mono Fast and X-Light Fast were chosen.


The excellent tear strength and details resulting from the V-Posil Mono Fast and X-Light Fast impression allowed the lab to design a full-contour zirconia crown that fit the preparation well. The final restoration required minimal adjustment of one contact and marginal fit was excellent. A final radiograph was taken to verify fit and the crown was cemented using a resin modified glass ionomer cement. No occlusal adjustments were required, and the patient was happy with the final results.
Conclusion
Today, the majority of crowns made are all-ceramic, and the trend is to mill them for accuracy and convenience. The majority of impressions are still taken in a traditional analog fashion using VPS impression materials. In order to ensure detail and accurate fit, it’s crucial to have appropriate materials that provide the same. A great impression allows for accurate scans to be made by the lab for design of the final restorations. V-Posil Mono Fast and X-Light Fast provide for a long working time to do multiple units and yet a shorter set time for convenience to the patient. Even after setting, its hydrophilic properties allow for accurate models. The high tear strength prevents deformation after removal from the mouth. The vivid colors allow for easy visualization of the preparation and margins.