In this Product Benchmark, Shannon Pace Brinker, CDA, CDD explains how Ultradent's Opalescence Go can be used to whiten teeth in pediatric patients, restoring confidence and smiles.

Children and adolescents experience detrimental effects from severely unattractive teeth that can result from tooth discoloration of both deciduous and permanent teeth; visible caries and decay; and poor gingival health.
Negative social interactions (i.e., bullying, teasing, embarrassment, etc.) because of tooth discoloration can leave lasting psychological impacts.1 An unaesthetic oral condition can also affect a child’s self-esteem and lead to a poorer quality of life.2 As recent generations are faced with increasing concern about body image, psychological and social adjustment become an important factor in pediatric evaluations.
Category Cruncher: In-office whitening products
However, addressing tooth discoloration issues in young patients has been challenging and problematic given patient age, cost factors and limited research as to the effects of whitening treatments on pediatric patients. With inadequate research and education, dentists are cautious about using whitening products on pediatric patients. Thus, children, adolescents and parents may begin using alternative methods to improve tooth color, leading to the potential for abuse.3 A comprehensive understanding of common pediatric tooth discolorations and treatment options is necessary to maximize the psychological, social and educational potential for tooth whitening for young patients.
Tooth whitening and pediatric patients
Whitening treatments provide the most conservative cosmetic option to treating stains and discolorations for pediatric patients, something that can help to greatly improve a young patient’s self-esteem and psychosocial interactions. However, little research regarding tooth whitening has been completed on adolescents and children. This has led to a general lack of professional understanding about what type of whitening treatment is appropriate for children and adolescents. According to the policy set by the American Academy of Pediatric Dentists (AAPD), they encourage judicious use of bleaching of vital and nonvital teeth.4 The AAPD also recommends for patients (and their parents) to consult their dentists about whether whitening treatment is ideal for their condition.
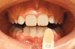
Pre-op shade for a pediatric patient.

Without established guidelines, selecting the type of whitening treatment for pediatric patients can be challenging. However, for children and adolescents experiencing social distress and a lack of self-esteem due to tooth discoloration, whitening provides an appropriate and conservative solution. The whitening studies that have focused on children and adolescents have found whitening treatments to be effective, with the only adverse effects being those commonly experienced with tooth whitening, such as hypersensitivity.5-10 Whitening gel has also been shown to improve gingival health, reducing inflammation and plaque formation, which also contributes to an enhanced smile appearance and, subsequently, greater confidence when smiling and socializing.11
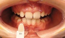
Post-op shade in a pediatric patient.

Challenges do exist for successful tooth whitening in pediatric patients. Irrespective of age or method (i.e., in-office, OTC, or at-home), research indicates that whitening treatments cause a high prevalence of side effects (i.e., tooth sensitivity, gingival irritation, etc.).5-7, 12 This can also influence patient compliance, as experiencing tooth sensitivity and/or gingival irritation during and after bleaching may be more traumatic an experience for children than adults.
Dental perspectives: How Ultradent's Uveneer's can save time
Additionally, determining the ideal concentration of bleaching agent is essential to ensure effective bleaching without damaging young healthy tissue. Research has determined that enamel permeability decreases with age. This makes pediatric patients more susceptible to whitening because more of the active ingredient interacts with the tooth tissues. Primary teeth also have relatively larger pulps and thinner dentin and enamel when compared to permanent teeth, leading to greater effects from whitening in children. Lower concentrations of whitening agent may be necessary for pediatric patients to provide effective results with minimal side effects on both deciduous and permanent teeth.
Next page: The product in practice ...
Pediatric whitening with Opalescence Go
Developed as an easy-to-use, effective and low-concentration whitening solution, Opalescence Go (Ultradent Products, Inc., South Jordan, Utah) may be the ideal treatment for pediatric patients. With convenient ready-to-go prefilled, disposable trays, Opalescence Go automatically conforms to the patient’s mouth without the need for impressions. This unique tray responds to the internal body temperature of the patient and begins to mold around the occlusal surfaces, arches and into the interproximal spaces. It provides molar-to-molar coverage and an extremely comfortable, custom-like fit for children and adolescents.
The List: Top 9 ways to get your patients to whiten
The trays arrive prefilled with the appropriate amount and concentration of bleaching gel, so patients simply unwrap the package and wear them for the appropriate, dentist-prescribed amount of time. Parents, children and adolescents can easily carry them on the go. With no extra accessories or reusable parts, the trays are simply thrown away once the whitening session is complete.
One pediatric case I was proud to be part of involved a boy named JJ. I met JJ's mother Leigha at a dental class in Utah. I spoke about how hard it is today for children with self-image issues, and how it was important to think kids and how they feel about themselves. After the program, Leigha approached me to see if Opalscence Go could be a solution for JJ. She began to go through photos of JJ, and I cried to see that JJ had never smiled for any of the pictures. Leigha didn't have the school pictures or any of those funny smiles of missing teeth we all treasure as parents. I told her we had to do something.
JJ followed all the steps along with his mother overseeing the process. The transformation was amazing and this story is so emotional. Hopefully, learning about JJ's story and seeing the above video will make practices more aware of how whitening can change lives of our children, not just the adult patients.
In the United States, Opalescence Go is available in a 10% hydrogen peroxide concentration with wear times from 30-60 minutes, and a 15% hydrogen peroxide concentration with wear times from 15-20 minutes. In Europe and now the United States, a 6% concentration is also available that, in particular, can be ideal for pediatric and adolescent patients. The lower concentrations of hydrogen peroxide minimize the likelihood of sensitivity or gingival irritation after treatment in children and adolescents. The Opalescence Go whitening gel formula also includes potassium nitrate and fluoride to reduce sensitivity and promote overall oral health.13-15
Related product: Ultradent unveils a new repair cement
With a sticky and viscous formula, the gel and tray stay where they’re placed, ensuring maximum patient comfort. Its mint, melon and peach flavors also help improve comfort and compliance with pediatric patients.
Conclusion
Opalescence Go provides a conservative treatment option for pediatric and adolescent patients with tooth discoloration who, as a result, have experienced negative self-esteem and social implications due to the appearance of their smile. It also provides dentists with a safe and practical whitening solution that has demonstrated effectiveness and minimal sensitivity for pediatric patients. Indicated for removing tooth discolorations due to congenital, systemic, pharmacologic and traumatic factors, Opalescence Go is effective at resolving grey to yellow to brown stains that result from poor dental hygiene, medicine, fluorosis and trauma. With Opalescence Go, children and adolescents can achieve successful whitening, transforming their smile and improving their confidence.
About the review
With the combination of the world’s leaders in their field, Contemporary Product Solutions’ dexterous, knowledgeable and experienced leadership team maintains a sharp eye for emerging products in the field of general and restorative dentistry by providing a “Total Office” perspective of clinical information and application, incorporating photographs and videos to assist chairside procedures for better patient results. CPS (cpsmagazine.com) will continue to evaluate one product at a time with professionalism, integrity and a commitment to excellence.
References
1. Leith R, Moore A, O’Connell AC. An effective bleaching technique for non-vital, discoloured teeth in children and adolescents. J Ir Dent Assoc. 2009;55(4):184-9.
2. Do LG, Spencer A. Oral health-related quality of life of children by dental caries and fluorosis experience. J Public Health Dent. 2007;67(3):132-9.
3. Lee SS, Zhang W, Lee DH, et al. Tooth whitening in children and adolescents: a literature review. Pediatr Dent. 2005;27(5):362-8.
4. American Academy of Pediatric Dentistry Council of Clinical Affairs. Policy on the Use of Dental Bleaching for Children and Adolescent Patients. Oral Health Policies. 2009;36(6):14-5.
5. Donly KJ. Segura A, Sasa I, et al. A controlled clinical trial to evaluate the safety and whitening efficacy of a 9.5% hydrogen peroxide high-adhesion whitening strip in a teen population. Am J Dent. 2010;23(5):292-6.
6. Donly KJ, Segura A, Henson T, et al. Randomized controlled trial of professional at-home tooth whitening in teenagers. Gen Dent. 2007;55(7):669-74.
7. Donly KJ, Henson T, Jamison D, et al. Clinical trial evaluating two peroxide whitening strips used by teenagers. Gen Dent. 2006;54(2):110-2.
8. Waterhouse PJ, Nunn JH. Intracoronal bleaching of nonvital teeth in children and adolescents: interim results. Quintessence Int. 1996;27(7):447-53.
9. Croll TP, Segura A. Tooth color improvement for children and teens: enamel microabrasion and dental bleaching. ASDC J Dent Child. 1996;63(1):17-22.
10. Donly KJ, Donly AS, Baharloo L, et al. Tooth whitening in children. Compend Contin Educ Dent. 2002;23(1A):22-8; quiz 49.
11. Almas K, Al-Harbi M, Al-Gunaim M. The effect of a 10% carbamide peroxide home bleaching system on gingival health. J Contemp Dent Pract. 2003;4(1):32-41.
12. Bruzell EM, Pallesen U, Thoresen NR, et al. Side effects of external tooth bleaching: a multi-centre practice-based prospective study. Br Dent J. 2013;215(9):E17.
13. Wang Y, Gao J, Jiang T, et al. Evaluation of the efficacy of potassium nitrate and sodium fluoride as desensitizing agents during tooth bleaching treatment-a systematic review and meta-analysis. J Dent. 2015 Apr 22. Pi: S0300-5712(15)00083-4. [Epub ahead of print].
14. Tam L. Effect of potassium nitrate and fluoride on carbamide peroxide bleaching. Quintessence Int. 2001;32(10):766-70.
15. Leonard RH Jr, Smith LR, Garland GE, Caplan DJ. Desensitizing agent efficacy during whitening in an at-risk population. J Esthet Dent. 2004;16(1):49-55; discussion 56.