A conservative treatment with Futurabond U and GrandioSO Heavy Flow delivers esthetics, reduced sensitivity. With an aging population often comes incisal wear, abfractions and less-than-ideal esthetics. Patients often have sensitivity, challenged occlusions and compromised esthetics. The restorative dentist must address these concerns while using efficient procedures and effective materials that result in predictable long-term success.

With an aging population often comes incisal wear, abfractions and less-than-ideal esthetics. Patients often have sensitivity, challenged occlusions and compromised esthetics. The restorative dentist must address these concerns while using efficient procedures and effective materials that result in predictable long-term success.
Case study
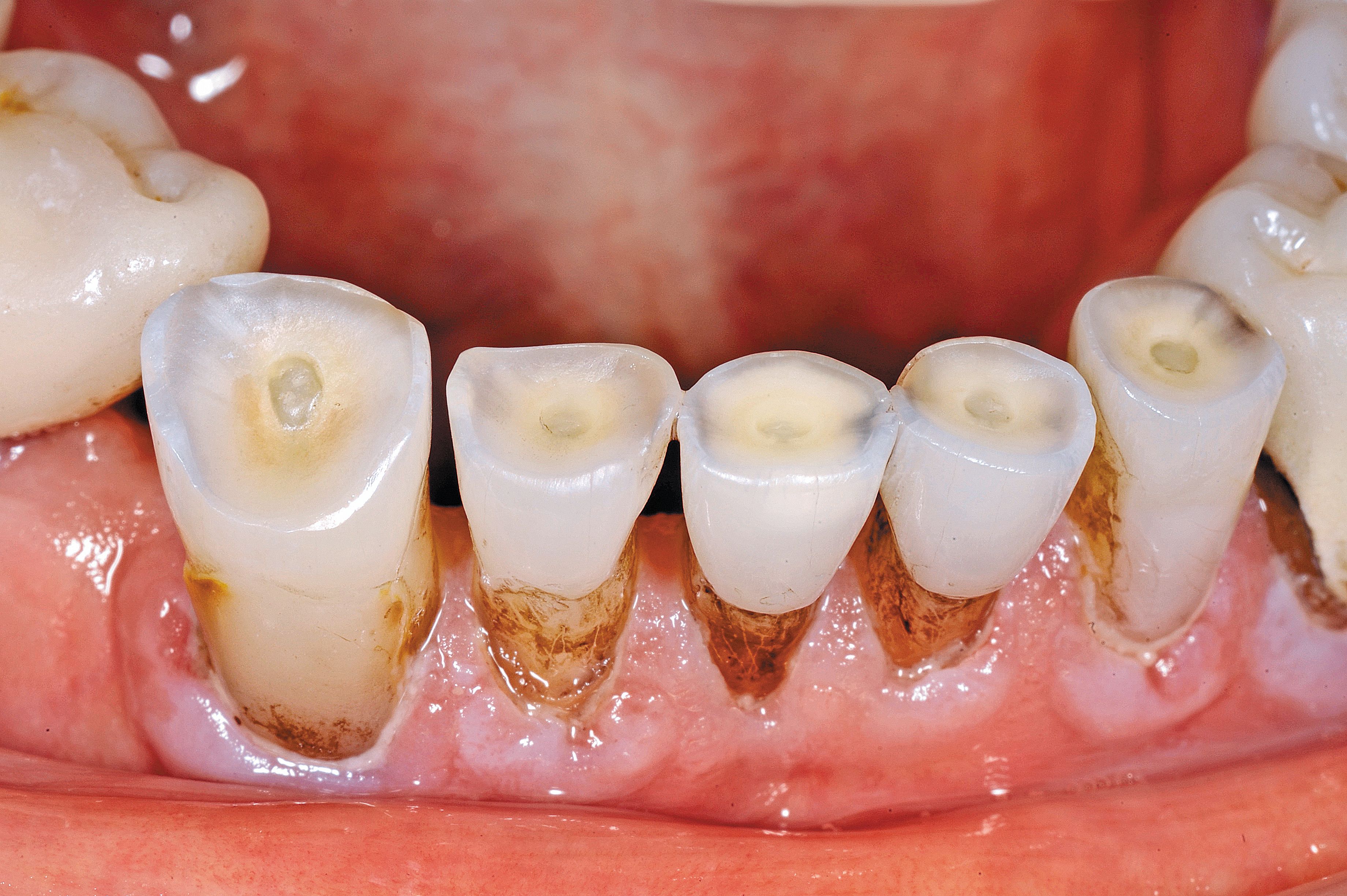
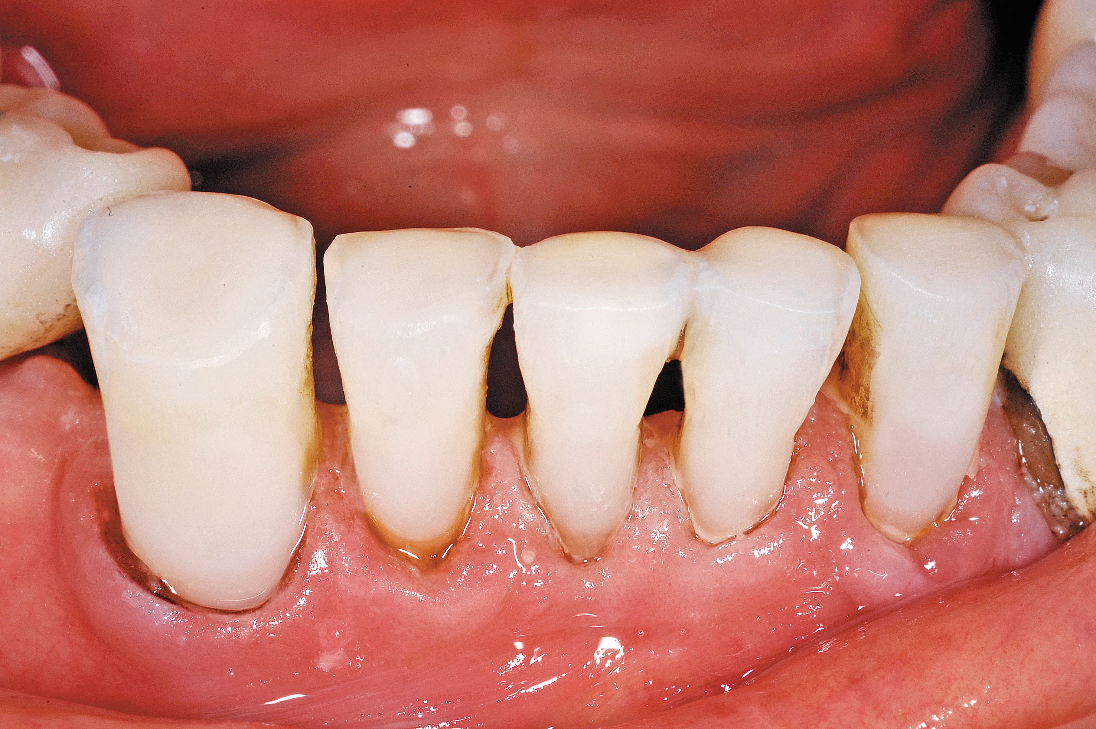
Fig. 1

In this case, the elderly gentleman had worn an upper denture for more than 50 years and was experiencing sensitivity to touch on the incisal edges of tooth Nos. 26 and 27. There was cold sensitivity on the lower incisor abfraction areas as well. There was also recurrent decay around the facial composite on the lower right bicuspid. He has been a chlorhexidine rinse user twice a day for more than 10 years, and staining was an ongoing issue (Fig. 1).
Related reading: Easy-to-use VOCO materials allow for natural-looking esthetics
Fig. 2

The wear of the opposing denture and acrylic teeth was significant enough to see the secondary dentin of the pulp.
Flowable composites have become very popular restorative materials because of their versatility, but their lack of viscosity is often associated with high shrinkage and a less durable material. The GrandioSO Heavy Flow (VOCO America) lines of flowables are highly esthetic, provide great physical properties and are easy to work with. The GrandioSO Heavy Flow has 83 percent filler with wear and shrinkage comparable to many of the more viscous nano hybrid composites on the market. The regular GrandioSO Flow has more of a self-leveling ability. In this office, the assistant tries on different shades of the material, cures them, picks the correct color and then removes the samples from the teeth (Fig. 2).
Fig. 3

Dentin and cementum surfaces that are exposed to the oral environment are not easily bonded. Contaminants such as chemicals, foods, fluoride and medications decrease the bondability of these surfaces unless they are prepared. Instead of using a bur and more aggressive dentin removal, the exposed dentin surfaces were air abraded using 50 micron aluminum oxide until frosty (Fig. 3).
Continue to page two to read more...
A MicroEtcher (Danville Engineering) was used to clean the dentin surface, remove the outer layer and provide micromechanical retention. The goal was not to remove healthy tooth structure as would be done if retention grooves were cut with a handpiece and bur but instead to change the surface area and prepare it for more successful adhesion.
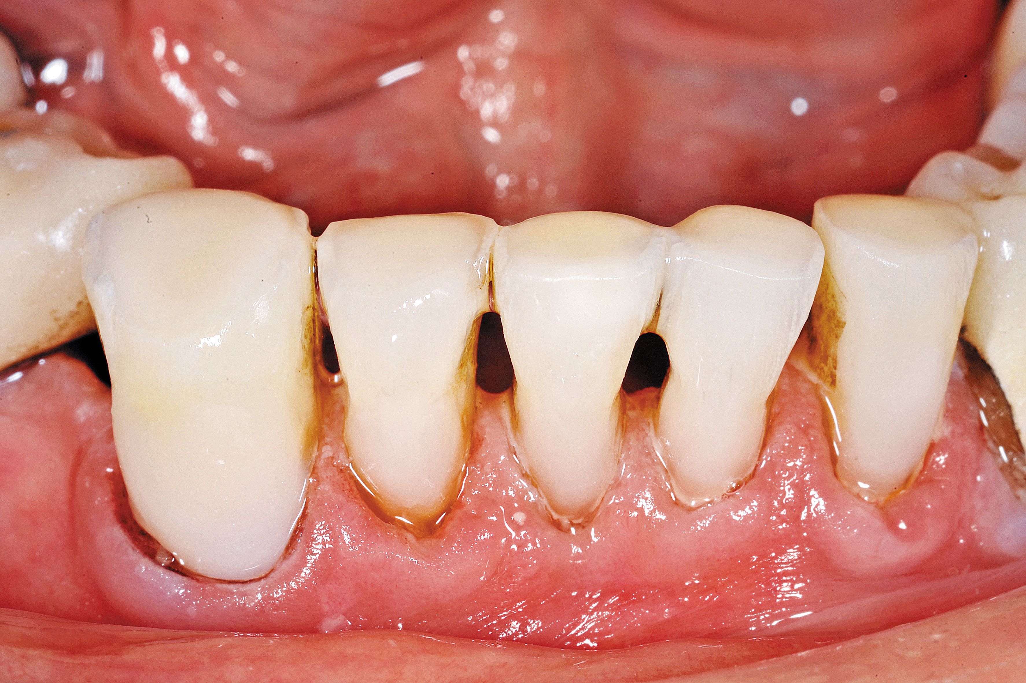
Fig. 4

The conservative nature of this treatment allows for healthy tooth structure to be maintained. By providing for the tooth surface preparation, our goal is 95 percent retention at five years of durable restorations. It must be stressed that no drilling, retention grooves or any other preparation was done at this time outside of micro-abrasion. It seems counterproductive to this practitioner to replace missing tooth structure by drilling away remaining tooth structure.
A selective-etching technique was done by etching only the enamel with 37 percent phosphoric acid for 15 seconds and then rinsed well.
The combination of acid etching of enamel and air abrasion of dentin results in frosty surfaces that provides an improved surface for bonding (Fig. 4). The surface area is greatly increased, and the contaminated outer surface is removed. Occlusal relief does not normally need to be done in these areas as the abrasion of dentin is faster than enamel, resulting in “dished out” areas that “naturally” provide ample clearance.

Futurabond U (VOCO America) is a universal adhesive that gives high dentin and enamel adhesion with any bonding technique: total-etch, self-etch or selective-etch. The single-dose system removes issues with potential solvent evaporation by using a unique single-dose system (Fig. 5).
The bonding agent is massaged onto the tooth surface and lightly air dried (Fig. 6). After light-curing, the surface is shiny and ready for placement of restorative material (Fig. 7).
Fig. 7


Fig. 6
Continue to page three to read more...
GrandioSO Heavy Flow is applied, replacing the missing incisal enamel, covering the entire dentin surface and carried onto the enamel 1-2 mm. After curing, the same flowable material is used to replace the missing enamel, dentin and cementum on the facial surfaces. This flowable material has great adaptability yet stays where it is placed with excellent control with physical properties that allow it to be placed even on the occlusal surfaces of teeth.
Fig. 8

The facial lesions on Nos. 26 and 27 and the failing composites are prepared at this point using a high speed handpiece and a 330 bur to remove the old restorative material (Fig. 8). Decay is carefully extirpated with a slow speed round bur and spoon.
Air abrasion is then done on dentin/cementum surfaces as described above with the goal again to preserve healthy tooth structure. After selective-etching and universal bonding agent application, the lesions are restored with two layers of GrandioSO Heavy Flow and cured.
The restorations are shaped with a finishing bur on a high speed with light pressure and water. The occlusion is then checked (Fig. 9). The premature contacts, as seen on tooth No. 26, are adjusted with a finishing diamond (Fig. 10).
Fig. 10


Fig. 9
Care is taken when shaping and finishing to reduce stresses on the restorative material by using sharp finishing instruments, light pressure and water to decrease heat buildup and iatrogenic marginal degradation (Fig. 11).
Fig. 11

The restorations are then polished with polishing cups and Dimanto (VOCO America), leaving a highly smooth surface. All restorations are left moist to dissipate heat then given a final cure of 20 seconds on each restored surface.
Conclusion
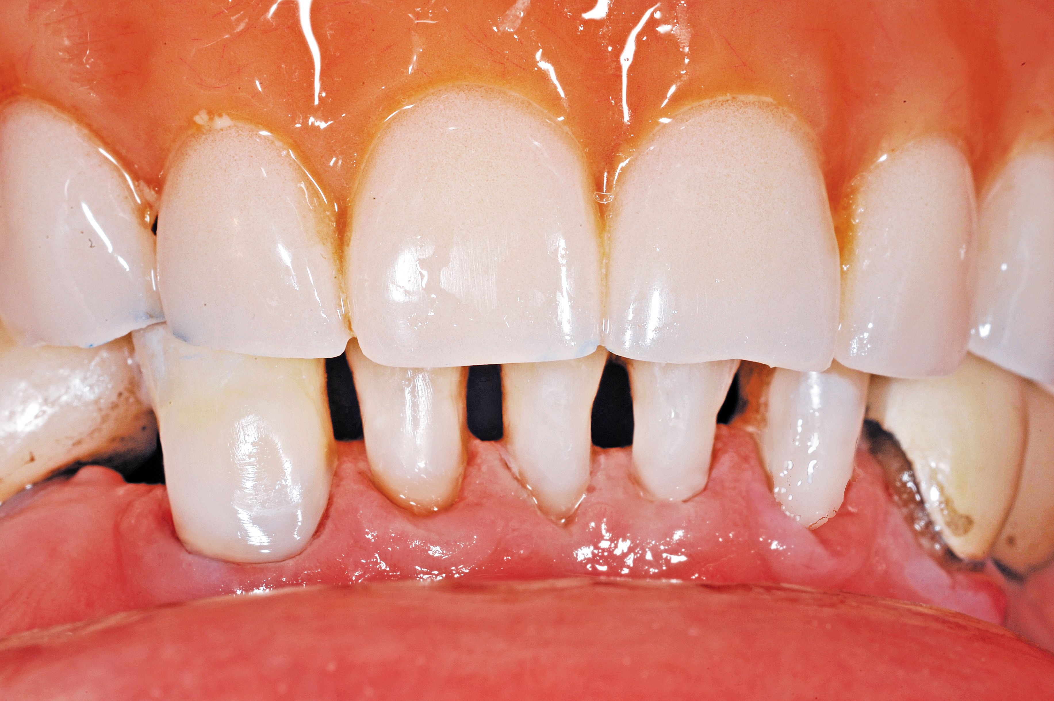
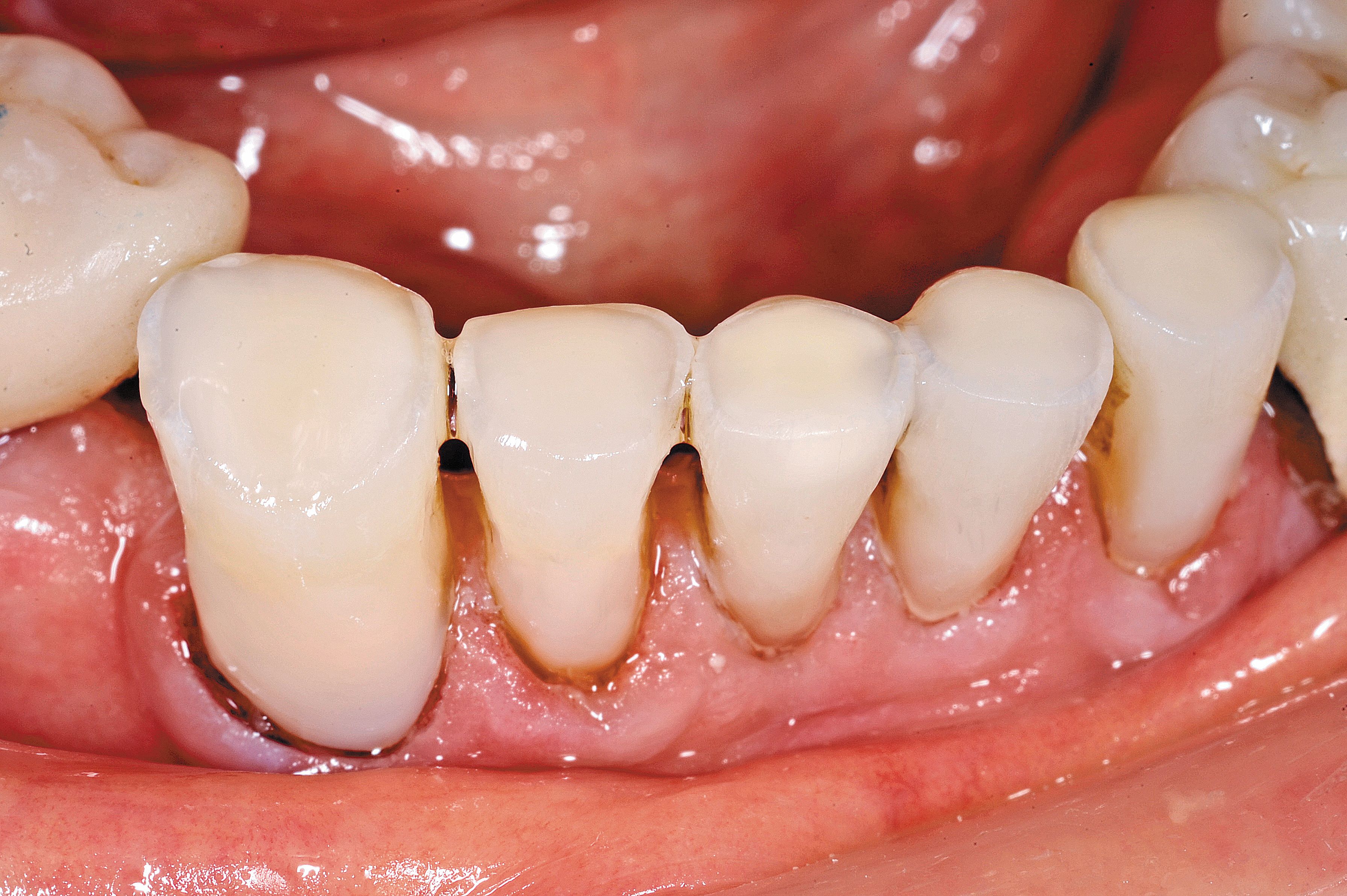
This conservative treatment is excellent service to the patient. Sensitivity is reduced, esthetics are improved and enamel is replaced with dentin and cementum sealing. This combination of technique and restorative materials provides durable, esthetic, patient-pleasing restorations with minimal invasion into healthy tooth structure (Fig. 12).
Fig. 12
