How using Dentsply Sirona's Aquasil Ultra+ helps this clinician in hydrophilicity, tear strength and speed/delivery options.
Are we, as dentists, sometimes passing on new and worthy ideas for the sake of deep-seated traditions and established habits? Indeed, I believe that sometimes we are. Take for instance the problem of capturing a final impression for fabrication of indirect restorations. Trends toward the use of retraction pastes as alternatives to cord do not usually result in adequate sulcus retraction. In addition, lower cost materials with potentially inferior physical properties to overcome such conditions have created confusion for the clinician as they justify or are told that “all PVS is the same.”
Impression materials
The difference in PVS materials is truly in the details. The recently introduced Aquasil Ultra+ Smart Wetting Impression Material (Dentsply Sirona Restorative) is an upgrade in the well-established Aquasil line and has been specifically designed to help clinicians in three key areas: hydrophilicity, tear strength and speed/delivery options.
Impressions used intraorally (i.e. the real world) need to work in the rigors of the oral cavity, which can include presence of fluids including blood and saliva. With this in mind, Aquasil Ultra+ was designed with a low-contact angle as tested on uncured samples of impression materials at high relative humidity to better represent the clinical situation. The resulting performance translates to improved handling intraorally which translates to improved impressioning results. In turn, the clinician may notice improved accuracy and potentially better fitting restorations that require less chairside adjustments. This improvement is beneficial because as most dentists know, rarely if ever do we work under ideal conditions in a crown and bridge procedure. Enhanced intraoral hydrophilicity means less stress and more confidence in achieving the desired results.
Related article: 10 of the CRAZIEST impressions you've ever seen
Aquasil Ultra+ benefits
In addition to increased hydrophilicity, Aquasil Ultra+ has unmatched tear strength. Impression materials injected into paste-retracted sulci often result in thin cross sections of material. When adequate gingival retraction is not present, the importance of the tear strength of the material being used is compounded. To prevent tearing at the margin and loss of detail, Aquasil Ultra+ was designed to feature market-leading tear strength at both mouth removal time and after 24 hours of setting. This benefit should provide confidence to the clinician that the material placed into the mouth will be completely retrieved and no critical margin information was lost due to tear mishaps. Furthermore, this feature allows lab technicians the opportunity to create extremely accurate working models that duplicate what was captured in the mouth.
Related Article: 10 ways to make a great impression
Aquasil Ultra+ Smart Wetting Impression Material complements its clinical performance with both material selection and precision delivery options. With a variety of viscosities to meet the clinical need, situation and goal of treatment, the clinician, not the manufacturer, can choose the best parameters to operate within. Additionally, the ease and ergonomic advantages of the digit Targeted Delivery System gets the clinician closer to the prepared tooth for better control and accuracy.
Up next: See Aquasil Ultra+ in action.

Fig. 1 PVS Impression

Fig. 1 PVS Impression
The following case example demonstrates the features and benefits of Aquasil Ultra+ to both clinician and lab technician. Patient DR presented with the need for a new crown on tooth #14. A 0.8mm circumferential chamfer margin design was used and mesial and distal secondary retention slots were included to increase resistance form. A quadrant-sized metal triple tray impression was utilized. Aquasil Ultra+ XLV wash was syringed using digit for enhanced control of delivery while Aquasil Ultra+ Heavy body viscosity was used for the tray material.
Both tray and wash materials were fast set speeds with an intra-oral working time of 35” and a mouth removal time of 2’30”. Digital electronic timers were used to ensure proper observance of working and setting times per manufacturer instructions (Fig. 1).


Fig. 2 Margin Detail

Fig. 2 Margin Detail
Upon pour up, one can note exceptional margin capture and detail (Figs. 2-4).
Fig. 3 Overview of prep

Fig. 4 Buccal margin detail



Fig. 5 Buccal model

Fig. 5 Buccal model view
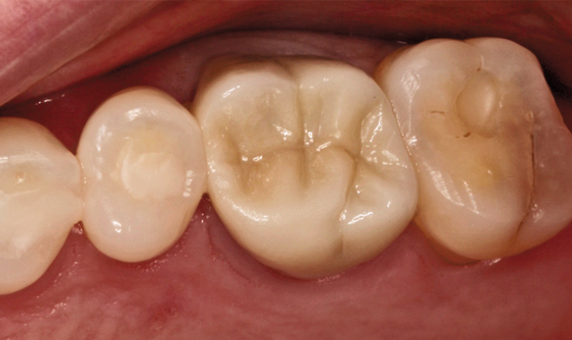
A full contour zirconia crown was prescribed and careful consideration was taken to provide the lab with the necessary prep-reduction requirements indicated for fabrication (Figs. 5-7).
Fig. 6 Lingual model view

Fig. 7 Occlusal clearance



Fig. 8 Final overview

Fig. 8 Final overview
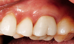
The patient returned in two weeks for the crowns seat visit. The tooth was cleaned with a 2% chlorhexidine pumice slurry and the crowns were tried in and checked for marginal fit using a cowhorn explorer, at which time no detectable catches or gaps were present due to seamless transition between crown and tooth surface. In addition, proximal contacts were checked and flossed and the occlusion was marked to ensure proper centric stops.
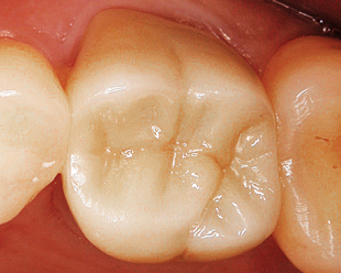
The zirconia intaglio surface was cleaned by air abrasion with aluminum oxide and the crown was conventionally cemented (Figs. 8-10).
Fig. 9 Final close-up

Fig. 10 Final buccal view

Everyone likes days filled with high productivity and low stress. Often we are lured by products that overpromise to meet that desire and usually under-deliver. We have the power and the choice to see beyond price and promises and look to what matters: results. Tiny tweaks can and do make big differences. Aquasil Ultra+, with all its wonderworking effects, translates to better, smarter and faster dentistry. And that is worth giving up the good enough to go for the great.
