One dentist showcases how the Planmeca Emerald can be used to create same-day, all-ceramic, full-coverage onlays.

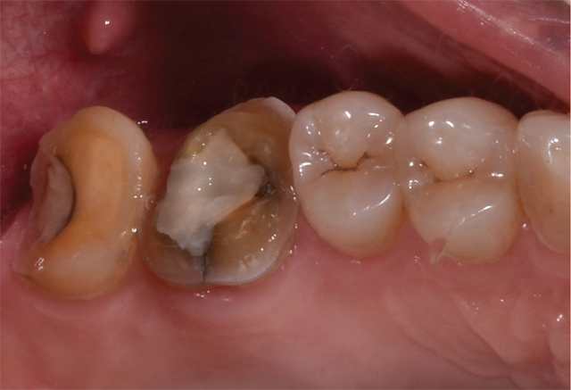
A 50-year-old female with no significant medical history presents for same-day, all-ceramic, full coverage onlay restorations on tooth No. 14 and No. 15. Existing restorations include No. 14OL and No. 15DO defective composites with open margins and recurrent caries (Fig. 1). The patient reports infrequent cold sensitivity localized to No. 14 and No. 15.
Using the Planmeca Emerald intraoral scanner, a preoperative scan of the upper left quadrant and the opposing quadrant were taken as well as a scan of the buccal bite with the patient holding in centric occlusion. Twenty percent Benzocaine topical anesthesia was applied to the mucosa for two minutes, followed by the administration of buffered local anesthesia.


Fig. 1 Fig. 2
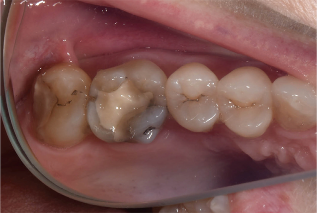
Preparation for full-coverage, all-ceramic onlays for teeth No. 14 and No. 15 was performed using an electric handpiece at 35,000 rpm under copious water irrigation. A bur block designed for all-ceramic preparations was used to achieve an ideal preparation for lithium disilicate. IPS e.max (Ivoclar Vivadent) was selected for its ideal esthetics and strength (Fig. 2).
Read more: The benefits of the Planmeca Emerald intraoral scanner
The prepared teeth and buccal bite were then scanned using the Planmeca Emerald. A detailed examination of the preparation design, including margin placement and occlusal clearance, was performed on the PlanScan system monitor. A shade was selected using the Ivoclar Vivadent e.max CAD shade guide. Once satisfied with the preparations, the margins were easily marked and the restorations were designed, taking into account necessary material thickness, contacts, embrasures and occlusion (Figs. 3 and 4). Sprue placement was verified and the designs were sent to the mill.


Fig. 3 Fig. 4
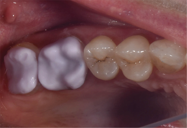
After the restorations were milled, sprue removal was completed, followed by a try in of the restorations in the purple phase (Fig. 5). The margins, contacts, and a gentle occlusion were inspected and necessary adjustments were made. The restorations were then stained and glazed and placed into the ceramic furnace.
Once completely cooled, the intaglio surfaces of the restorations were prepared with 9.6% porcelain hydrofluoric acid etch and rinsed with water. The restorations were then tried in and the contacts, internal fit, margins and occlusion were once again verified. Any necessary adjustments were made and polished using the IPS e.max chairside adjustment and polishing kit.


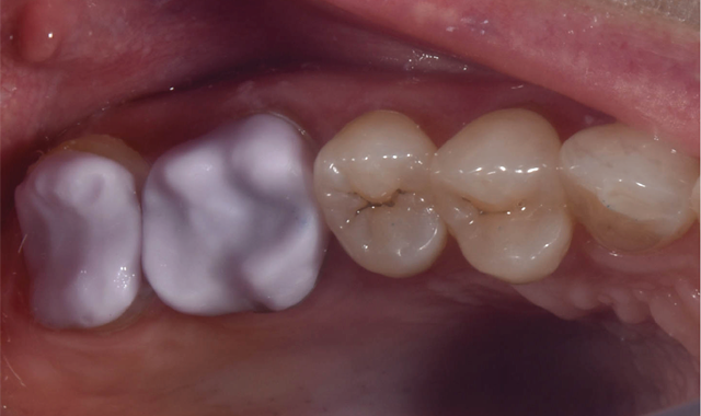
Fig. 5 Fig. 6
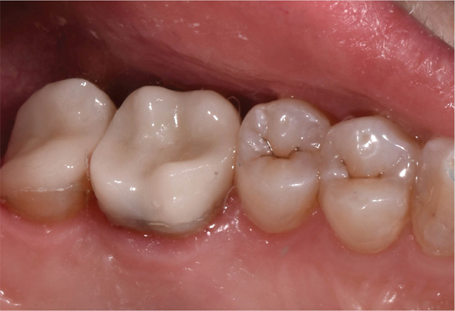
Following try in, the restorations were cleaned with Ivoclean and rinsed followed by an application of Monobond Plus (Ivoclar Vivadent). The enamel on the preparations was etched with 37% phosphoric acid and rinsed. A dry field was achieved and an application of adhesive was applied to the preparations and light cured. The restorations were cemented with Variolink Esthetic (Ivoclar Vivadent), which is a dual-curing, resin-based cement, and tack cured for three seconds. Easy cleanup of the excess cement was performed around the margins and contacts followed by a final curing (Fig. 6).
The patient tolerated the procedure well and was thrilled with the final result that was completed in one visit. The patient expressed an overall satisfaction with the digital workflow and was placed on a six-month recall schedule.