A Smile MakeOver can transform your patient’s self-image in one or two easy visits. Popularized by television shows, our patients have learned that this can be done with minimal tooth reduction and without the conventional angst patients often feel about dental visits. Some patients actually refer to it as “fun dentistry”. And it is. For the patient, the dentist and the entire dental team.
A Smile MakeOver can transform your patient’s self-image in one or two easy visits. Popularized by television shows, our patients have learned that this can be done with minimal tooth reduction and without the conventional angst patients often feel about dental visits. Some patients actually refer to it as “fun dentistry”. And it is. For the patient, the dentist and the entire dental team.
I also know a little bit about the genesis of smile makeovers since I was fortunate to pioneer, refine and teach C.E. courses on how to perform one of the original non-invasive smile makeover systems back in the mid-1980’s. As described in the previous article I wrote in DPR’s Best Cosmetic Dentistry Practices, I had been working with the beauty industry since 1982. Developing the smile makeover concept was a natural consequence of combining dental and facial beauty. However, conventional smile makeovers today are typically thought of as using porcelain veneers – which is fine – but it may be out of the price range for many patients in today’s economy.
Let’s look at an innovative approach that allows you to provide your patients with beautiful, natural looking, non-invasive and affordable Smile MakeOvers – without using porcelain veneers.
Case Study
One morning the following patient came into my office and wanted to know what I could do to improve her smile. As you may know from the articles I have been writing in DPR I do not always advocate the use of smile makeovers. When possible I prefer to do one or two LifeLike Veneers™ in conjunction with in-office tooth whitening to provide dramatic results. However, there are times when a smile makeover is in order. The following case is illustrative of where I still recommend smile makeovers to my patients.


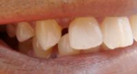
Before Photos taken by Dr Harvey Silverman DMD
Note: the first thing I did was to find out what the patient wanted to change using
The Silverman Institute’s Smile Analysis Form.
After reviewing this patient’s Smile Analysis form I learned she did not like the length, spacing, color, positioning, alignment and overall appearance of her teeth. This applied to the upper and lower teeth. She also felt that her canine teeth were too pointed.
What would you do if this patient walked into your office? In addition to doing routine procedures including an oral examination and periodontal check, the first thing I did was to ask her to hold a mirror and show me what she wanted to have improved about her smile. Even after reviewing her written smile analysis form I did not want to assume that I knew which teeth she wanted to enhance, which I shared in a previous article.
After reviewing her chief concerns, evaluating her occlusion (including signs of bruxism as well as lateral and protrusive interferences) I discussed the advantages of having orthodontia. I informed her that was the optimum treatment in my opinion. However it became quite evident that orthodontia was not the route she wanted to go. She wanted to explore other options.
Now that I discovered the patient was not going to accept orthodontia, what would you suggest I do to improve her smile? Porcelain veneers were not an option since the expense would be far greater than the patient wanted to invest.
Any thoughts? Look at the before photos again. What would you do?
Here’s what I did. I knew that closing in the large diastema between the right lateral incisor and canine was going to be a challenge. I also knew that the patient told me that she wanted to have “straighter, more even looking teeth” when she smiled. However, I did not want to make them look artificially straight and even.
I showed the patient a Smile Preview of what she could expect as an outcome. I discussed in detail that I would use illusion effects to help create the appearance of a beautiful smile, but that under close inspection, she would notice imperfections. This is true especially when a patient looks at the veneers with a 3X or 10X mirror at home. For example, I knew that I needed to use the concept of color and light reflections so that her right lateral incisor and canine teeth would not appear out of proportion with her other teeth at a social distance.
The Silverman Institute’s 60 Second Smile Preview technique showed me exactly how to accomplish the desired illusion effect so I felt comfortable moving forward. It also showed my patient what it would look like so that her expectations would be met. She loved the transformation after seeing the Smile Preview. I explained to her that I felt she could experience about a 50-60% improvement. She thought it was even more that that. I documented this conversation in her chart.
Then I began the procedure. And quite frankly it was easy – and fun – to do.
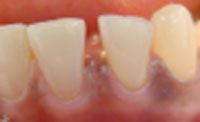
The first thing I did was to treat the maxillary central incisors. I needed to close the diastema in addition to achieving equal incisal lengths on both #8 and #9. Her maxillary left central incisor also had a slight distal inclination. To start the procedure I placed two LifeLike Hemi-Veneers™ on #8 and #9.


Start with the maxillary central incisors: 2 LifeLike Hemi-Veneers™
Cosmetic Dentistry done by Dr Harvey Silverman DMD
Once the proper length and closure was achieved, I moved on to the “challenging teeth” which were #6 and #7 as well as #10 and #11.
My patient already knew that since she was NOT having orthodontia - closing that large a space would necessitate creating two larger teeth. However, she already saw exactly how that was done with my 60 Second Smile Preview technique. Thus, I was comfortable moving forward. I knew from my Smile Preview that I needed to shape the veneers so that the light reflections did not emphasize the width of the teeth. Just the same, there was no doubt that the teeth would still be larger than ideal.
Placing the veneers was actually easy, stress-free and fun to do. Using LifeLike Veneers™ it took about 2 hours to place all of the veneers.
After the veneers were finished and polished, I used an in-office whitener, the EasySmile Tooth Whitening System™ that I developed several years ago. I created EasySmile for patients who wanted in-office whitening but did not want to go through the unpleasant post bleaching experience sometimes associated with conventional in-office whiteners – namely sensitivity.
Another reason I developed EasySmile was because it provided me with a simple method of achieving tissue isolation for in-office whitening that did not require lip retractors, a face bib, paint-on rubber dam, cotton rolls and a mouthful of gauze. My patients really appreciated the simplicity of doing in-office whitening that no longer required uncomfortable tissue isolation. Depending on what caused the original stain, EasySmile also provided from four to six shades of whitening in one visit. That made my patients even happier.
For darker stained teeth requiring six to eight shades of improvement, I still keep a light activated in-office whitening system available in the office as an optional treatment. However some patients using conventional light activated in-office whitening need additional whitening sessions using if they have dark stains.
The EasySmile Tooth Whitening System™ whitened and brightened the remainder of her teeth to be in the same shade range as the LifeLike Veneers™, which were already made by me to be 3-4 shades lighter than her natural teeth. The final result: all of her teeth blended in beautifully.


Creating illusions to create a more pleasing smile with LifeLike Veneers™ and EasySmile Whitening.
Cosmetic Dentistry done by Dr Harvey Silverman DMD
At a subsequent appointment my patient returned and said she was ready to continue her Smile MakeOver. Now I focused my attention to her lower anterior teeth where she wanted me to close her diastema.
I placed two LifeLike Veneers™ on her mandibular incisors and her Smile MakeOver was complete.


Lower anterior teeth can look straighter with 2 LifeLike Veneers™
Cosmetic Dentistry done by Dr Harvey Silverman DMD
Smile MakeOvers are often thought as being invasive, expensive and unattainable for many patients. That is no longer true if you use the principles that I have been sharing in the Best Cosmetic Dentistry Series. Learn to think out of the box. Challenge yourself to take courses that stretch your imagination. Learn to see the forest (the smile) and not just the trees (the teeth). Listen to your patients and find out what they want, not just need. Within a short period of time you will be enhancing more smiles than you have thought possible.
Please feel free to contact me (incrediblesmiles@aol.com) if you want help in distinguishing or transforming your office into a premier cosmetic practice. As always, if you want to achieve excellence in technique or management/marketing for cosmetic dentistry, please drop me an email. In any event, don’t put off for tomorrow what you can accomplish today. That’s procrastination and procrastination is not a good recipe for success.
Cheers! I wish you all the best. Now get out there and when indicated, transform your patient’s smile with non-invasive veneers combined with in-office whitening. By doing so you can transform your patient’s life through enhanced self-image and improved self-esteem.