2016 kicked off to a wonderful start for The Catapult Group as we were asked to evaluate GC America’s new composite material, G-aenial Sculpt, a light-cured, universal nano-hybrid compactable composite. It is universal because it can be used for both anterior and posterior and yet, it is compactable. Dr. Lou Graham and the Catapult Group congratulates GC America in receiving The Catapult Vote of Confidence for G-aenial Sculpt.

2016 kicked off to a wonderful start for The Catapult Group as we were asked to evaluate GC America’s new composite material, G-ænialTM Sculpt, a light-cured, universal nano-hybrid compactable composite. It is universal because it can be used for both anterior and posterior and yet, it is compactable.
I know what you are thinking: “Oh why another composite?” Truth be told, composites continue to advance--and they need to! If all your composites have no small voids on placement, years of great polish, no staining, no brown margins, no chipping and handle ideally then put this article down and continue what you are doing. There are significant advancements with a few composites coming into the marketplace and this article will review the raves from the group about G-ænialTM Sculpt.
To simplify this review, I would like to start with why it is an upgrade:
• This composite has the Nano-Filler Technology of G-ænialTM Universal Flo (GC Nano-Filler Technology) and this is unique.
• Versus Strontium glass in G-ænial Universal Flo, G-ænial Sculpt utilizes a barium glass, and these filler particles are 300 microns.
OK, so what does this really mean? Most hybrid composites have much larger particles that are not evenly dispersed and equally do not have the higher density required for long term success in regards to polish retention and wear (our reviewers found the polish of this material to be in the superior category).
• Another key feature for our posterior restorations is that this material has low shrinkage stress properties and this is critical for our high C factor clinical situations (Class I’s and Class II’s). Its high resistance to wear and staining, and equally superb polish, make this material an ideal capping material for your posterior restorations.
• Yes, it’s very radiopaque.
• Additionally, there are 17 shades and some unique ones such as:
Junior Enamel (JE) in addition to Adult Enamel (AE)
Three opaque shades that are A01, A02 and A03 (makes Class IV’s more predictable)
Geriatric colors that include CV
California colors of BW and XBW
The Catapult Group utilized 28 evaluators and their results are as follows:
• G-ænial l Sculpt scored extremely high amongst the group in the way the material handled. Over 85 percent of the doctors felt it carved easily and more than 92 percent of the doctors liked the fact that the material resisted slumping.
• 95 percent of the doctors really liked the way the material blended with the natural tooth structure and found it extremely chameleon-like in matching.
• 95 percent loved the polishing and that same number felt it matched its shade guide.
• 90 percent of the group would recommend this product to a colleague.
Case 1
The challenge: Easy to onlay, easier to crown, far more of a challenge to place a direct restoration (Fig. 1).
In Case 1, it was a challenge to place a direct restoration.

In Case 1, it was a challenge to place a direct restoration.
After bevel placement, Palident Matrix System was put in place, followed by selective etching, rinsing, suction drying and application of a universal bonding agent (must be scrubbed for 20 seconds throughout the preparation due to selective etching), appropriate air drying and light curing (Fig. 2).
After bevel placement, Palident Matrix System in place, selective etching followed by rinsing, suction drying and application of a universal bonding agent appropriate air drying and light curing.

After bevel placement, Palident Matrix System in place, selective etching followed by rinsing, suction drying and application of a universal bonding agent appropriate air drying and light curing.
After placement of a bulk fill low stress flowable and again appropriate light curing, the final 2 mm of warmed A2 G-ænial Sculpt was placed in one bulk fill manner. After finishing and polishing, the above restoration truly maximizes tooth preservation (Fig. 3).
After finish and polishing, this restoration truly maximizes tooth preservation.

After finish and polishing, this restoration truly maximizes tooth preservation.
Case 2
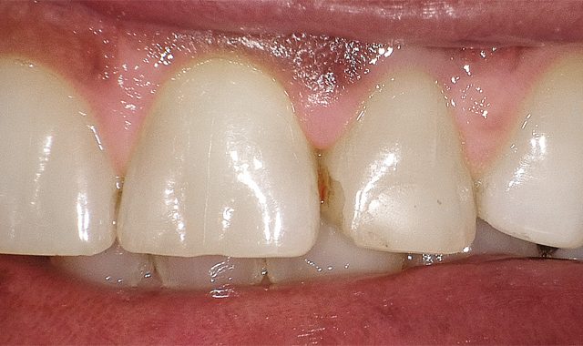
This case involved replacing a chipped Class IV on number 10 (Fig. 4).
Case 2 involved replacing a chipped Class IV on No. 10.

Case 2 involved replacing a chipped Class IV on No. 10.
The beauty of the G-ænial Sculpt system is that one can get a superior chameleon effect from using a core shade (A2, for example) but in the case presented, we simply layered an A2O, then an A1 and then AE (adult enamel) over the very outer layer.
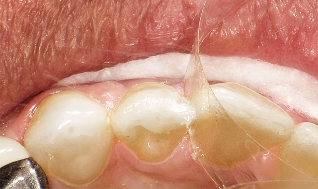
The first layer of A2O was placed on the lingual surface after etching and bonding (Fig. 5).
The first layer of A20 is placed on the lingual surface after etching and bonding.

The first layer of A20 is placed on the lingual surface after etching and bonding.
The key here is looking from the incisal room and leaving enough room to blend in your A1 or A2 body shade and then if you want, placement of Adult Enamel.
After the layering was completed, a series of disks were utilized (Fig. 6) for finishing and polishing.
After the layering has been completed, a series of disks are utilized for finishing and polishing.

After the layering has been completed, a series of disks are utilized for finishing and polishing.
Fig. 7 shows the chameleon effect of G-ænial Sculpt. The great results led to congratulations going out to GC America in receiving The Catapult Vote of Confidence for G-ænialTM Sculpt.
The chameleon effect of G-aenial Sculpt is illustrated here.

The chameleon effect of G-aenial Sculpt is illustrated here.
About the review
Catapult is an organization that consists of more than 50 clinicians spread throughout Canada and the United States. As a company, manufacturers pay a fee for their product to be evaluated and what we deliver are truthful, independent answers from surveys that we develop with them. We have had many products that have either had to be altered before hitting the market or simply never arrived because of our openly honest evaluations. In this way, Catapult assists the manufacturer to avoid potentially releasing a faulty product, or simply a product that needs refinement. Lastly our clients are omnipresent in the industry, small to large, no favoritism, simply reviewing the latest products in our practices.
More about G-ænial™ Sculpt
This compactable, universal composite features the same high-density, uniform dispersion nano-filler technology found in G-ænial™ Universal Flo. This is said to create a resin that is easy to shape, sculpt and polish, plus it is formulated to provide a strong, wear resistant and radiopaque finished restoration with beautiful esthetics. A self-shining effect enables simple rough finishing with a bur to bring the restoration to a beautiful luster and will continue to increase in polish over time with excellent “chameleon” shade match to enamel. This helps to provide an exceptional clinical outcome for a wide variety of clinical procedures.