
Dr. Steven Parrett is so happy with the results he’s gotten using Silver Diamine Fluoride (SDF) in his practice that he thinks every dentist should be taking advantage of its benefits.
Dr. Parrett, DDS, FAGD, who has a private practice in Chambersburg, Pennsylvania, touched on his use of SDF in an article published in the January 2020 issue of Dental Products Report. You can read the full article, "Silver Diamine Flouride: the little known conservative caries management tool,” by clicking here. He works with his local community at a local church at an event called Diaper Depot. The event is all-volunteer and run by Dottie Bush, along with more than 50 community volunteers who give their time and resources. The program provides diapers and hot breakfast, as well as food and other essentials to around 200 to 300 people in the community who need them. Dr. Parrett does a dental screening clinic there, as well.
Visitors to the clinic with concerns about their teeth, get looked at and if Dr. Parrett sees decay, he applies Silver Diamine Fluoride. He sees using SDF as a disclosing solution as an essential aspect of the SDF conversation. It has changed the way he diagnoses in areas where the decay isn’t apparent.
“If you are a dentist – pedo, endo, ortho, oral surgery, pathologist, whatever – and you are not using SDF, you should be ashamed!,” says Dr. Parrett, who has been using SDF for about four years. “Our approach was gradual, but the dramatic results were so encouraging that we use it every day in our practice on ANY patient with signs of decay.”
He feels the word “decay” should be eliminated from dental terminology. To describe dental disease of the teeth correctly, we should call it caries.
“Even that is controversial. Is it a bacterial infection? Or a behavioral disease? I would say both, and I have treated it as such,” Dr. Parrett says. “Sadly, our profession has chosen to ignore the bacterial aspect for almost 100 years. Believe it or not, in the 1937 JADA/COSMOS Journal there was an article titled “Controlling Dental Caries”.
“Can you imagine my surprise when I saw that title while in my garage looking through a box of items I had saved from an old office I was cleaning out. The author, Dr. James Pride from Omaha, Nebraska talked about using Silver Nitrate. Look it up-Google might work?”
Anyway, Dr. Parrett believes using SDF is better and he has four different techniques to apply it.
1) Just use the cotton tip applicator and rub it on tooth contacts or any obvious lesions for 60 seconds.
2) Apply to contacts and use HV suction to draw it through buccal to lingual.
3) Use a wax form over a quadrant, apply the SDF and leave in place for 60 seconds.
4) Or, my favorite, is apply to a marked segment of Superfloss and draw it through the contact area.
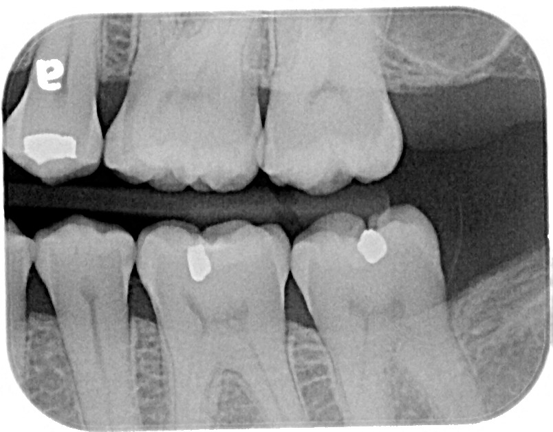
Figure 2


Figure 1
Figures 1 and 2 show his technique that he describes as the most effective method to getting the SDF directly on the interproximal surface.
Dr. Parrett and his patients like the results this treatment has provided. Additionally, he has not had any complaints of gum irritations when using this technique
For information about the SDF products available and more details on their use, read the full article referenced above.