
Dentsply Sirona announced an update to its SureSmile software system during the 2020 SureSmile User Conference, Feb. 27-29 in San Diego.
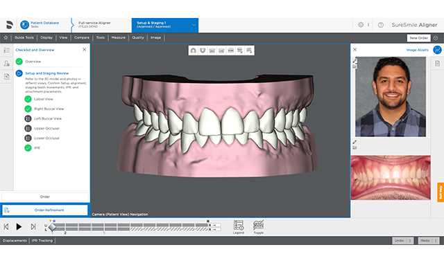
SureSmile is Dentsply Sirona’s cloud-based digital aligner platform. The newest version 7.6 is said to offer an easy introduction to SureSmile Aligner treatment, full control when treating cases of different complexities, and even the production of aligners in-office. The platform also supports treatment options beyond aligners, such as indirect bonding of brackets, surgery planning, and patient-specific archwires.
The upgrade allows for the treatment of malocclusions of Angle Class II and III with aligners, and digitally planned cutouts enable the use of intermaxillary elastics. Determining when or where and interproximal enamel reduction (IPR or stripping) should be performed to gain extra space can be a challenge for clinicians. Dentsply Sirona has improved the SureSmile user interface to provide a good overview of the optimal IPR sequence.
The variable trimline is another important aspect of aligner design, and SureSmile 7.6 enables clinicians to determine how far the aligner overlaps the gingiva, offering different degrees of rigidity and force transmission. A new feature is the aesthetically appealing scalloped aligner design, where the aligner margin is designed to follow the course of the gingival margin exactly, which also provides a high level of comfort for the patient.
For more information on the SureSmile system, visit dentsplysirona.com.