How BRILLIANT EverGlow can be used to create esthetic and long-lasting tooth-colored restorations.

As the use of composite has become more commonplace since the 1980s, there has been an evolution from self- to light-cure, high to low wear, etc. The journey to find the ideal tooth-colored direct restorations has been extraordinary. Characteristics like flexural strength, opacity, handling, polishability and esthetics are nuanced and often individually valued.
Ultimately, a product comes along that makes one say, “Winner!” COLTENE’s BRILLIANT EverGlow® fits that description. The material is described by COLTENE as a universal submicron hybrid composite and is applied in 2-mm increments. It also has excellent polishability and strength comparable to 3M’s Filtek™ Supreme Ultra Universal Restorative. Its “Duo Shade” feature aids in excellent esthetics and simplified shading for a chameleon effect with more efficient placement.
The combination of easy handling, strength and polishability should be a big help to every clinician.
Related reading: Choosing the right composite for your patients
Catapult Education engaged 29 of its evaluators to test BRILLIANT EverGlow’s many qualities. This group had some of its own common traits and differences:

What were the important qualities we were looking for in a composite and how did BRILLIANT EverGlow match up?
The overall impression of BRILLIANT EverGlow by the group is that it’s a very good overall composite. Many of the evaluators found this to be similar to their favorite current composites, which is a high compliment because they’re comparing it to their preferred brands.
For these reasons, BRILLIANT EverGlow has earned the Catapult Vote of Confidence.
Continue to page two to read more...
Case study #1
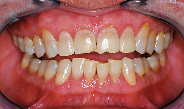
A middle-aged patient presented with a desire for a healthier, more youthful smile that was compromised by crowding and wear. A conservative approach of ABB (alignment, bleaching and bonding) was recommended, starting with aligner care with Invisalign (Fig. 1).


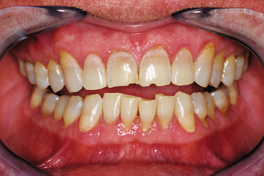
Fig. 1 Fig. 2
Post-orthodontic care wasn’t rushed to establish solid tooth positions and occlusion. This involves three months of retention along with deprogramming, whitening and equilibration at the end. (Fig. 2).
Related reading: 4 reasons more adults are considering orthodontic treatment
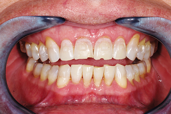
Repair of chipped and damaged teeth was done additively using an erbium laser, thin, low-depth diamond bevels and placement of BRILLIANT EverGlow® Duo Shade B1/ A1 (Fig. 3).

Fig. 3
Case study #2
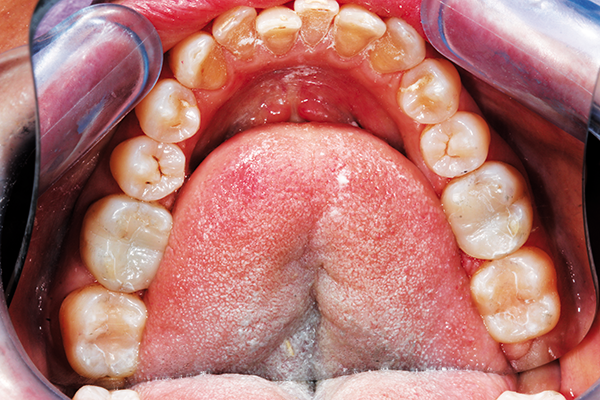
A fearful patient seeking multidisciplinary changes needed treatment of decayed bilateral lower molars. The goal was to preserve tooth structure and restore directly (Fig. 4).


Fig. 4 Fig. 5
Restoring the posterior molars was easily done with BRILLIANT EverGlow. It was easily condensed and sculpted to anatomical contours and polished to a lifelike shine (Fig. 5).
Continue to page three to read more...
Case study #3
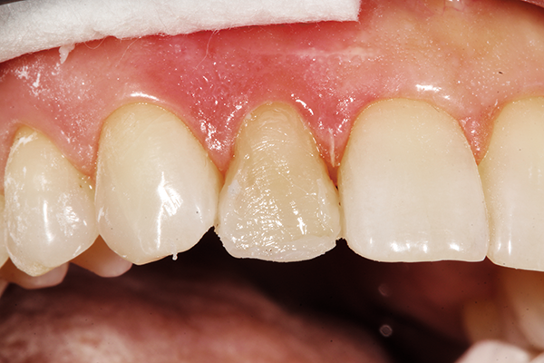
A patient with a very compromised cardiovascular condition wanted to conservatively improve her smile at tooth #7, where it was dark from retrusion and old compositematerial that was poorly shaped. To correct this matter, a strategy to whiten the surrounding teeth while a blueprint of an improved shape/volume was created on a model would be followed by gently reshaping line angles and doing a direct veneer on the challenging tooth (Fig. 6).


Fig. 6 Fig. 7
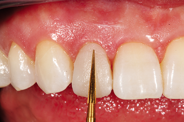
Tooth #7 was conservatively prepared to remove old composite buccally and interproximally. After microetching with aluminum oxide and rinsing with chlorhexidine, 37% phosphoric acid was applied and rinsed thoroughly with water and then lightly dried.
Trending article: 7 horrifying procedures dentists used to do
ONE COAT 7 UNIVERSAL (COLTENE) bonding agent was applied/dried for 25 seconds and cured for 10 seconds (Fig. 7). Using a putty matrix, a thin layer of translucent shade was adapted and sculpted to create a lingual incisal “scaffold” to frame the primary anatomy of the tooth as well as the lingual occlusal anatomy (Fig. 8).


Fig. 8 Fig. 9
The A1/B1 Duo Shade was applied and layered using a compule of material on the facial surface following the two planed anatomy of the tooth as well as the mesiodistal line angles of the contralateral tooth and buccal contours of the adjacent teeth (Fig. 9).
Read more: Treating periodontal disease with Perio Protect
Smoothing the gingival margins and refining the primary anatomy was performed with a 12 fluted carbide ET9 finishing bur and coarse/fine composite finishing discs. Secondary anatomy was created with a fine diamond flame-shaped diamond to develop depressions between the three labial lobes. Occlusion was verified and adjusted with a 12 fluted egg-shaped bur (Fig. 10).


Fig. 10 Fig. 11
Interproximal polishing was done with various grits of strips to aid in flossing and to decrease the risk of stain buildup in the future (Fig. 11). ALPEN® ShapeGuard™ Composite Plus Step 2 Polishers and a felt polishing disc with aluminum oxide paste created a natural high gloss finish for esthetics and longevity (Fig. 12).


Fig. 12 Fig. 13
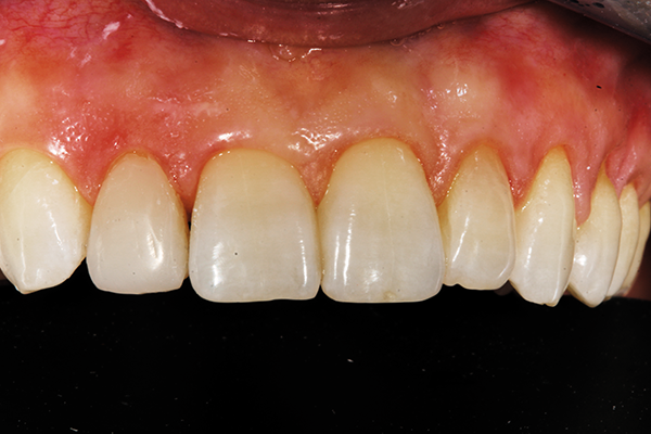
The close-up, post-treatment photo demonstrates the beautiful blend of color and anatomical congruency for this minimal change to the patient’s smile (Fig. 13). The patient was ecstatic about the simple and natural improvement in her appearance - especially doing this with no anesthesia given her heart condition. It was gratifying to help this young mother feel more confident again. The transitional approach with a very reliable composite could be a stepping stone for our patient’s desire for an ideal smile when her medical condition stabilizes. (Fig. 14).

Fig. 14