This month little teeth will get a big amount of attention as endodontists, general practitioners and many other dental professionals come together to recognize National Children's Dental Health Month.

This month, little teeth will get a big amount of attention as endodontists, general practitioners and many other dental professionals come together to recognize National Children's Dental Health Month.
DENTSPLY is joining the initiative to help raise awareness about the need for dental care among children and the importance of maintaining healthy primary teeth.
Children's dentistry is an area many clinicians shy away from when going into practice. As endodontist Dr. Beth Damas explains, treating children requires a special skill set. "A pediatric appointment generally takes a lot longer than an adult appointment. There's a lot more talking and handholding involved. You have to explain things slower and in more detail, with a lot less scary words, in order for them to make a connection with you, be comfortable and allow you to treat them."
Trending article: New survey finds kids' anxiety about dentists may be learned trait from parents
According to Dr. Damas, taking that extra care with children is critical in order to create a positive experience and establish good habits for long-term oral health. “If you can make the procedure a good experience for the child, you can turn around their otherwise negative view of going to the dentist or doctor – and as they grow up they're going to continue on that path because you helped get them out of pain and fix their tooth.”
Establishing that positive experience and good habits for oral health early on becomes incredibly important due to the significant role primary teeth play. Dr. Damas outlines just a few of the multitude of issues that can arise if a primary tooth is extracted before the permanent tooth is ready to erupt.
"We don’t want to disrupt the natural exfoliation and eruption pattern of a developing child. If a patient loses a tooth too early, other teeth can shift over and block the next tooth from erupting, and could cause changes in the growth pattern; there’s also potential for bone loss – you can run into major problems later on and that’s what we’re trying to avoid.”

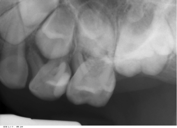
Pre-op image of a primary molar in a 5-year-old patient of Dr. Damas'. Extraction would have resulted in early tooth loss requiring a permanent space maintainer.
Continue to page two for more...

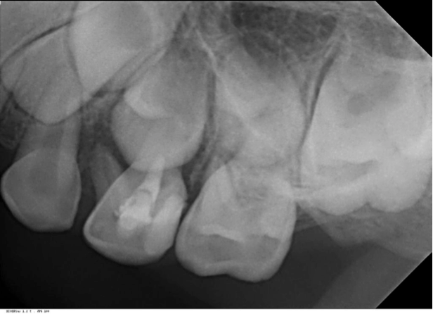
Post-op image following a pulpotomy, allowing the roots of the primary tooth to continue to develop.
One of the ideal ways to save primary teeth is vital pulp therapy. Recently, ProRoot MTA was cleared by the FDA for use in both pediatric pulpotomies and pulp capping. “In primary teeth or teeth that are under-developed, pulp capping with MTA allows for continued development of the tooth roots potentially getting us out of the adolescent stage and into adulthood where the teeth are more developed as opposed to a premature extraction,” Dr. Damas said.
Trending article: Study finds secondhand smoke exposure linked to increased dental decay in children
ProRoot MTA creates a biocompatible seal, making it an ideal choice by dentists for replacing dental pulp and preventing infection from reaching the roots of the tooth. It also allows for a normal healing response, including the formation of new cementum over the restored root interface.1
As part of National Children's Dental Health Month, DENTSPLY is taking part in the nationwide initiative by donating three percent of the cost of every box of ProRoot MTA sold in February to the National Children’s Oral Health Fund. And, to make it even easier to participate, clinicians can now order large refill kits of ProRoot MTA for only $199. What better time to expand your pediatric care than during National Children's Dental Health Month. Click here for details on the special offer.
Trending article: Study finds home care of children crucial after oral sedation

Dr. Beth Ann Damas graduated in 2005 as one of only five students with a dual DDS and MS degree from the University of Illinois College of Dentistry. Upon graduation, Dr. Damas entered the private practice of general dentistry in the Southwest Suburbs of Chicago from 2005 to 2008. Subsequently, Dr. Damas entered the endodontic residency program at the University of Detroit Mercy in Detroit, Michigan. She completed her residency training in 2010. Dr. Damas is an active member of the American Association of Endodontists, American Dental Association and the Chicago Dental Society. Her expertise includes regenerative endodontics in adolescents and she has presented this research on the subject to various study clubs nationally. In 2015, Dr. Damas completed her American Board of Endodontics Diplomate certification.
1. Mahmoud Torabinejad, DMD, MSD, Akbar Falah Rastegar, DMD, James D. Kettering, PhD, and Thomas R. Pitt Ford, BSD, PhD, "Investigation of Mineral Trioxide Aggregate for Root-End Filling in Dogs," Journal of Endodontics, Vol. 21, No. 12, December 1995, pp.603-608.