This advanced dental imaging application is now FDA cleared for assisted intelligence highlighting of 6 pathologies in 2D radiographs.
Image Credit: © DEXIS

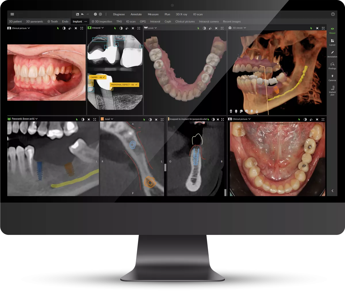
DTX Studio™ Clinic
DEXIS
Any practice using the DTX Studio Clinic software platform.
Whenever 2D periapical or bitewing intraoral radiographs are being captured or reviewed.
Seamlessly integrated into the DTX Studio Clinic platform, the assisted intelligence (AI) features provide additional insight and information for clinicians without changing any part of the imaging workflow. Additionally, the AI-reviewed images can be shared with patients to help highlight the issues a clinician confirms in a radiograph.
Using AI, DTX Studio Clinic analyzes x-ray images and highlights up to 6 potential pathologies for clinicians to scrutinize. With FDA clearance for detection of potential caries, marginal discrepancies, root canal defects, periapical radiolucencies, bone loss, and calculus, DTX Studio Clinic is designed to help clinicians detect and treat a wide range of oral conditions.