Sirona Dental has announced the upcoming availability of inLab software 15, which brings new restorative and communication abilities to the Sirona inLab workflow.

In late October 2015, Sirona Dental will introduce the completely revised inLab® Software 15 to the United States. The software made its debut at this year’s International Dental Show (IDS) in Cologne, Germany, but will finally arrive in the U.S. later this fall.
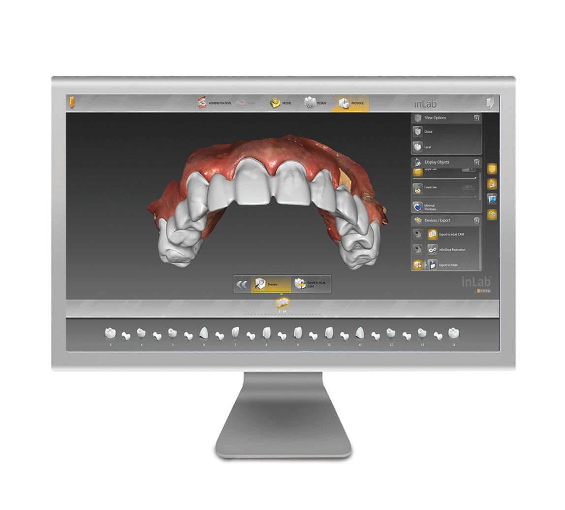
The newest software provides inLab users unprecedented freedom of design, materials and indications. Equipped with numerous new features and benefits, the latest software allows dental technicians to process files from any digital impression service and features new application modules such as implantology and removable frameworks.
What you need to know about the merger of Sirona and DENTSPLY
The completely revised inLab Software 15 reportedly is the only software that can import files from any current digital impression units, including Sirona Connect, iTero and 3Shape once the lab has received them, which may require third party portals. Furthermore, because the software is designed as a completely open system, the updated Software 15 also accepts any STL cases. The new software is also designed to export to any mill, fabrication device or service provider.
In addition to the recently introduced inLab Partial Framework application, inLab Software 15 features pivotal new implantology capabilities, substantially expanding the laboratory’s offerings and improving the technician’s work. Combining all steps in the restorative production process, it is now possible to design as well as mill implant surgical guides and implant bridges with or without soft tissue, including All on Four and screw-retained bridges. .
Users can also efficiently create removable partial frameworks from start to finish with the new inLab Software 15. The inLab Partial Framework module allows the design of baseplates for milling from wax for casting, sent to Sirona’s infiniDent® service, or exported through STL files for 3D manufacturing with laser sintering or Valplast®.
Real-time ROI: Sirona inLab and Sirona Connect
Another new feature of the software is the jaw-oriented biogeneric reconstruction feature that uses the entire occlusal surface of the jaw, as well as the patient’s individual occlusal curves, as a reference for its initial proposal. Jaw-oriented biogeneric proposals are said to create individual patient-specific restorations with natural function and beautiful esthetics with minimal effort.
Along with the new inLab SW 15, Sirona Connect capabilities have also been upgraded. The new chat window capabilities allow labs and doctors to chat about their cases. Users can send screenshots or files through the chat window with ease. This allows labs to provide design services for CEREC doctors.
For more information on the inLab Software 15.0 and all inLab CAD/CAM solutions, visit inLab.com.