This clinical case demonstrates the use of CORE-FLO DC LITE with Bisco’s dual-cured UNIVERSAL PRIMER for post and core build-ups. CORE-FLO DC LITE is a flowable dual-cured, fluoride-containing, radiopaque core build-up composite that is delivered with an auto-mix syringe.

Most dentists are looking for a combination of strength, durability and simplicity when choosing a core build-up material. CORE-FLO™ DC LITE is specifically designed to cement posts and build-up core structure in one easy application.
It can also be used as a dentin replacement material. CORE-FLO DC LITE comes in an auto-mix dual-syringe. It is intended to be used with any adhesive that is compatible with dual-cured resins. The CORE-FLO DC Lite intro kit is available with UNIVERSAL PRIMER™, a low-film thickness, dual-cured adhesive/primer designed for the dentist who prefers not to light cure the adhesive layer under indirect restorations. The dual-cured adhesive is also ideal for use when cementing posts.
The Catapult Group evaluated CORE-FLO DC LITE and 95 percent said that they would use the material in their dental practice. As one would expect in regards to handling the group’s opinion varied somewhat. While 63 percent of the group felt the material stacked well without slumping, 31 percent were neutral on this same topic. While only 62 percent of the group felt the material could be easily manipulated, 84 percent felt the material flowed well around the post and dentin undercuts without manipulation. In true fashion, one doctor noted, “excellent flow of the material’ while another stated it was too runny for his liking. Most of the doctors had no issues with voids in the material (85 percent).
100 percent of the Catapult evaluators felt that the two shades available (Natural/A1 or Opaque White) were appropriate for either anterior use when esthetics is important or posterior use when high contrast was necessary to differentiate between composite and dentin. The overwhelming majority agreed that the build-up material cut like dentin during tooth preparation. The majority of evaluators also agreed that they would use CORE-FLO DC LITE for post cementation and build-up in one application. The evaluators also agreed unanimously that the material was easy to differentiate from healthy tooth structure both clinically and radiographically.
Continue to the next page for a clinical case.



Fig. 1 Fig. 3
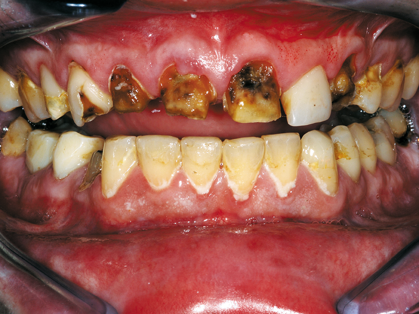
This clinical case demonstrates the use of CORE-FLO DC LITE with Bisco’s dual-cured UNIVERSAL PRIMER for post and core build-ups. The patient presented with advanced decay in multiple teeth. He was a relatively healthy 30-year-old male with a history of drug and alcohol abuse. He had recently completed a substance abuse rehabilitation program and wanted to finish his dental treatment.
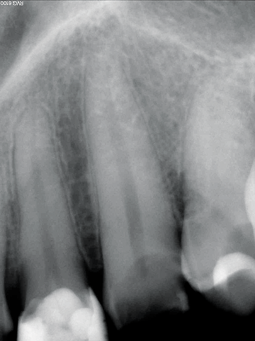
He stopped his prior dental treatment while still in his temporary restorations. He eventually lost the temporaries and went without for several years. As a result he was left with extensive decay in the previously prepared anterior teeth (Figs. 1, 3).




Fig. 4 Fig. 5
He also had numerous areas of new decay in most of his remaining teeth, requiring a full mouth reconstruction. Our treatment plan was a 24 tooth reconstruction (missing first bicuspids) with root canal treatment for teeth #7-11 with fiber post build-ups using CORE-FLO DC LITE.
On the maxillary preparation day the entire upper arch was anesthetized with articaine with 1:100,000 epinephrine and a full arch rubber dam placed (Fig. 4). The severely damaged anterior teeth #7-11 were cleaned and shaped for gutta percha final fill, then prepared for the fiber core posts (Fig. 5). Bisco’s dual-cured UNIVERSAL PRIMER was placed and agitated for 30 seconds on all five teeth at once.




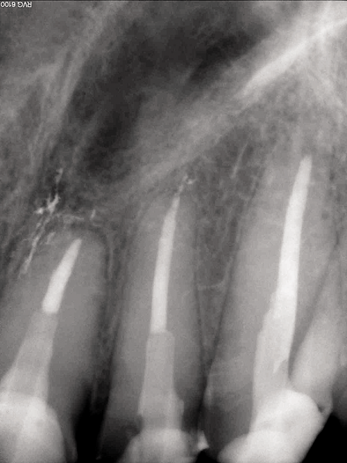
Fig. 2 Fig. 6
After thorough drying with air and paper points, the CORE-FLO DC LITE was injected into the canals one at a time with the fiber core posts immediately inserted. Each tooth was shaped and built up by adding CORE-FLO DC LITE as needed (Fig. 2, 6).




Fig. 7 Fig. 8
After the build-up material was completely hardened, the anterior teeth were prepared for 360 degree e.max veneers (Fig. 7). The six posterior teeth were prepared for e.max® onlays (Fig. 8). The rubber dam was removed, impressions taken, and Radica temporaries made with Radica, shade B1.




Fig. 9 Fig. 10
He returned the following morning and the entire lower arch was prepared and impressed in a similar manner (Fig. 9). After completing the lower Radica temps, final bite records were taken in centric relation and all temps were luted with spot bonded flowable resin (Fig. 10).
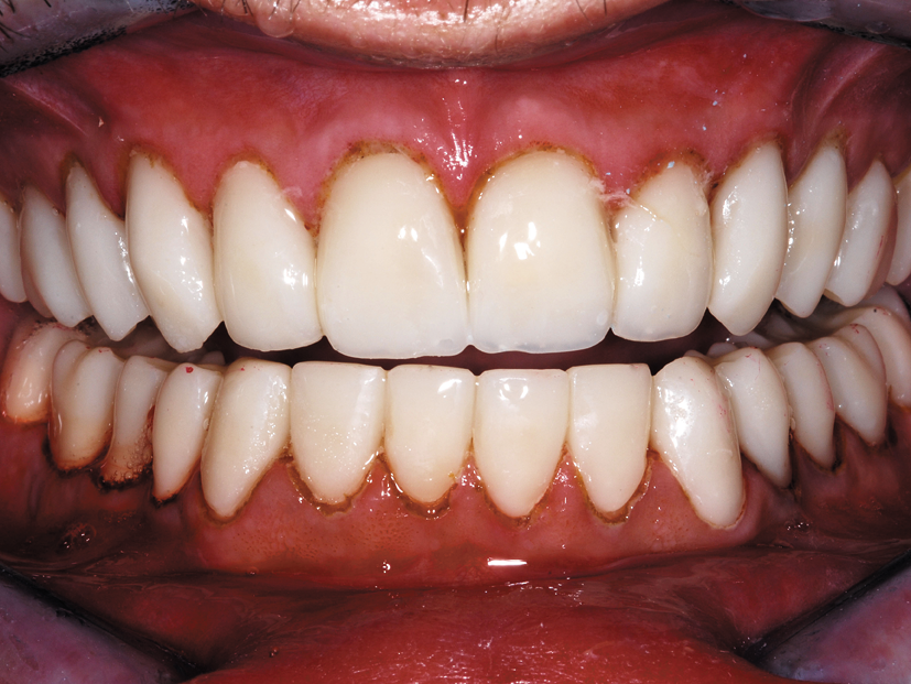
This case illustrates the ideal use of esthetic core build-ups that need to finish with the look of natural dentin so they blend in with minimally-prepared adjacent teeth. The finished preparations on teeth #7-11 are the same color and shape as the adjacent prepared natural teeth without build-ups.
