This patient case illustrates how a general dentist is required to have an excellent understanding of dental materials because there are many different indications for adhesive dentistry. In the past, it was necessary to carry multiple bonding agents to account for not only the different surfaces being bonded, but the different materials being used. Universal bonding agents, such as VOCO's Futurabond U, can be used in a great many different circumstances. But not all can satisfy each of the clinical indications described above, and the patient in this case is like many other patients we see on a daily basis.

About a month ago, a new patient came into our general restorative practice. She had moved to the area a couple of years ago, and was finally getting around to selecting a local dentist. She felt that she had received adequate care in the past, but knew there were areas needing attention.
There were not any teeth in pain, but there were a couple of areas where she had noticed some sensitivity that a sensitivity toothpaste had not helped. She also informed us that she was losing her benefits in three weeks, and wanted to take advantage of the coverage that she had remaining.
Related reading: Easy-to-use VOCO materials allow for natural-looking esthetics
During our comprehensive exam, we noted that she had all of her adult teeth with the exception of her third molars, and assorted restorations of varying sizes, ages and conditions. There was a posterior crown with a small chip, as well as some failing restorations with marginal decay. One failing restoration in particular had cuspal involvement.
Our treatment plan included:
1. Two resin fillings in the upper left
2. Class V filling in the lower right
3. Porcelain crown in the upper left
4. One resin filling on the upper right lateral with a stained margin extending onto the facial surface
5. Porcelain repair on crown in the upper right
6. Two areas to desensitize on the lower premolars
At our initial restorative visit, the plan was to begin on the left side, which included the crown preparation. After preparation of the teeth, we opted to restore the direct restoration. There was some concern for the depth of the restoration, so we chose a selective-etch approach.
By etching only the enamel and superficial dentin, we were able to achieve the micro mechanical retention in those areas, while eliminating the risk of sensitivity from the over etching of dentin.

Selective-etch for direct resin restoration.

Selective-etch for direct resin restoration.
We then used a universal adhesive [Futurabond U; VOCO] which allows us to achieve a high initial bond strength, as well as inhibiting enzyme activity and potential hydrolysis in a single layer.


Placement of direct resin [Empress Direct; Ivoclar Vivadent] restoration.

Placement of direct resin [Empress Direct; Ivoclar Vivadent] restoration.
We found that we did not have as much retention and resistance in our crown preparation as we had hoped, so when temporizing, we reached for that same universal adhesive to spot bond the dentin in order to keep the temporary [Structur 2 SC; VOCO] in place for the two weeks required to have the final restoration fabricated by our technician.


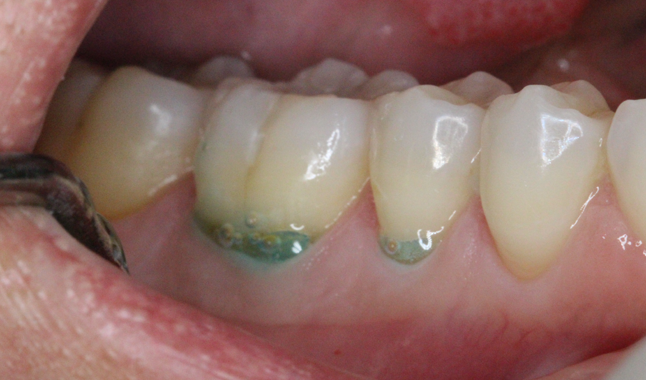
Total-etch for Class V direct resin.

Total-etch for Class V direct resin.
On the lower right, there were shallow Class V restorations, which we moved to next. With the entirety of the preparation being in superficial dentin, we had a more highly mineralized dentin and were able to restore using a total-etch approach to maximize the retention of the restoration.


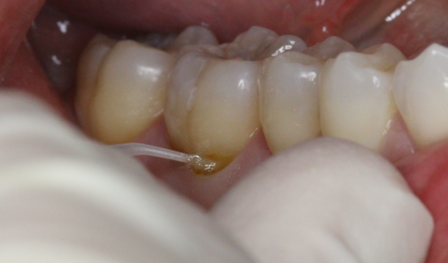
Universal adhesive [Futurabond U; VOCO] placement after total-etch for direct resin [Empress Direct; Ivoclar Vivadent].

Universal adhesive [Futurabond U; VOCO] placement after total-etch for direct resin [Empress Direct; Ivoclar Vivadent].
When we saw the patient the following week, she noted no sensitivity issues in the upper left, and that the temporary restoration had stayed in place with no issues or concerns.


Universal adhesive acting as a silane being applied to internal aspect of indirect ceramic restoration prior to cementation.

Universal adhesive acting as a silane being applied to internal aspect of indirect ceramic restoration prior to cementation.
Next visit
The next visit was going to be slightly more involved. We achieved anesthesia in the separate areas to be treated. With a full schedule, we needed to be very efficient during this visit and minimize the need for multiple materials at different stages.
We began with our indirect restoration (crown) in the upper left. The temporary was removed and the surface was treated with an antimicrobial. After a try-in where margins and contacts were verified, we treated the internal aspect of the ceramic with a universal adhesive [Futurabond U; VOCO] to allow for the use of a resin cement [Duo-Link Universal; BISCO] (the intaglio had been etched and sandblasted by the technician at the lab).


Anterior tooth in need of restoration.

Anterior tooth in need of restoration
With little enamel to speak of, the dentin was treated with our same universal adhesive, and the restoration bonded into place with our light-cure resin cement as access was not a challenge. Should we have chosen a dual-cure, or a self-cure resin cement, we would have achieved the same result with our universal adhesive that is compatible with all types of cements.


Total-etch for anterior resin restoration.

Total-etch for anterior resin restoration
Progressing to the anterior restoration, we completed our preparation and proceeded through our bonding steps again with the same universal adhesive. Because of the location of the restoration, we chose to use an esthetic composite system [Empress Direct; Ivoclar Vivadent].


Adhesion to both enamel and dentin achieved with universal adhesive [Futurabond U; VOCO].

Adhesion to both enamel and dentin achieved with universal adhesive [Futurabond U; VOCO]
With a total-etch technique, we achieved a highly polished and retentive result which was both esthetic and functional and the patient was very satisfied.


Finished restoration using an esthetic resin system [Empress Direct; Ivoclar Vivadent] that is compatible with the universal adhesive [Futurabond U; VOCO].

Finished restoration using an esthetic resin system [Empress Direct; Ivoclar Vivadent] that is compatible with the universal adhesive [Futurabond U; VOCO]
Due to both time and finances, the patient’s choice was to repair the small porcelain fracture on a previous ceramic restoration.


Porcelain repair achieved through application of universal adhesive [Futurabond U; VOCO].

Porcelain repair achieved through application of universal adhesive [Futurabond U; VOCO].
Because of our universal adhesive’s ability to coat a ceramic surface, we were able to repair this area with resin using a single adhesive and achieve a very successful result.


Completed repair.

Completed repair
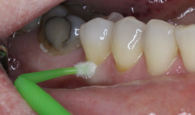
With our final area for treatment we moved to the symptomatic areas of sensitivity in the lower premolars. The surface was hard to the touch and did not require preparation. Universal adhesive [Futurabond U; VOCO] was massaged into the abfraction for 20 seconds as per the manufacturer’s instructions and cured.


Desensitization achieved through single layer application of universal adhesive [Futurabond U; VOCO].

Desensitization achieved through single layer application of universal adhesive [Futurabond U; VOCO]
Cooler than room temperature water was given to the patient to swish, and she was able to verify that significant improvement had been achieved.


Summary
This patient case illustrates how a general dentist is required to have an excellent understanding of dental materials because there are many different indications for adhesive dentistry. In the past, it was necessary to carry multiple bonding agents to account for not only the different surfaces being bonded, but the different materials being used. Universal bonding agents can be used in a great many different circumstances. But not all can satisfy each of the clinical indications described above, and the patient in this case is like many other patients we see on a daily basis
Universal adhesive benefits
Some of the key features of a universal adhesive include:
1. Ability to be used in self-, selective- and total-etch protocols.
2. Being compatible with all light-cure, dual-cure and self-cure composites without an additional activator.
3. Single layer application
4. Ability to be used with direct and indirect restorations as a stand-alone product.
5. Ability to be used with various materials including ceramic, zirconia, composites, metals and more.
In my office we use a universal adhesive [Futurabond U; VOCO] because it has the unique ability to meet all of these different clinical demands. What this allows the clinician to achieve is an increased level of efficiency as well as confidence in meeting a patient’s demands across a wide range of dental scenarios. This also minimizes the chance for clinical failure where materials and substrates are not compatible.
The patient in this article is just one example of so many patients who form the core of our general practice. More importantly, these patients have received the benefits of very competent restorative dentistry in a manner which is predictable and efficient. This leads to improved patient retention as well as an increase in referrals from a very satisfied patient whose expectations have been exceeded with the care that has been provided.
