A look at how one practitioner created a great restoration that still maintains great esthetic quality seven years later.
Sometimes we hand a patient a mirror after a successful restoration and tears of joy flow as they smile - they can’t believe the way their life is about to change. These are the reasons we went to dental school. Once gray and discolored teeth are now brilliant and white. These are the moments that transform lives.
As clinicians, we are privileged to work in a profession that allows us to recreate smiles on a regular basis. Whether it is a single tooth #8 that needs to be restored because of a bicycle accident or an entire complement of anterior teeth a mother wants looking good for her daughter’s wedding photographs, we must be able to reproduce nature in reliable and repeatable processes.
But in the back of our minds, as we hand the patient the mirror to revel in a newly restored smile, we ask ourselves, “How long will it look that good?” and, “Can direct composites stand the test of time?”
This article intends to demonstrate that, yes, they can and will. With new revelations in particle size, filler type and amount, we can confidently offer our patients less expensive options that are reliable, esthetic and, now, durable.
What would you think about a material that is universal to both anterior and posterior applications, polishes well with just about any available polishing materials and will still look the same nearly 10 years later? The case below will highlight just such a product. In my practice, located in a non-urban setting, it is required of me and my team to restore teeth in ways that some would profess to be “less than ideal.” It has been my experience that the lifespan and durability of the material showcased in the photos to follow will change your treatment plans and expand the options you offer your patients.
The product that I use daily was introduced 25 years ago by Tokuyama Dental America. Estelite Sigma Quick® is a supranano-filled, spherical composite. The average particle size is 200 nanometers and are all spherical, which allows it to be a truly universal composite. Using one or two shades combined in anterior restorations produces a chameleon effect that newer composites cannot match. Patients are consistently pleased, and the results are predictable and strong.
A new patient presented with concerns of esthetics. He was a self-proclaimed drug abuser for many years. Past medical history included long-term orthodontic bracket retention while using illicit drugs and also not under a clinician’s care. The patient removed most of the brackets on his own with at-home tools and pliers. Since removal of the orthodontic bands, the patient has completed a drug and lifestyle rehabilitation program that resulted in a life change. He is now interested in long-term oral health and well-being.
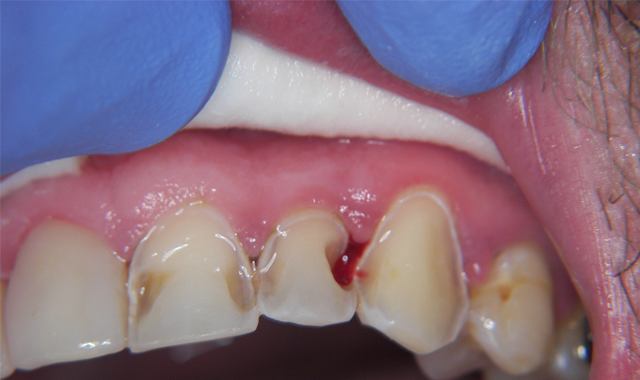
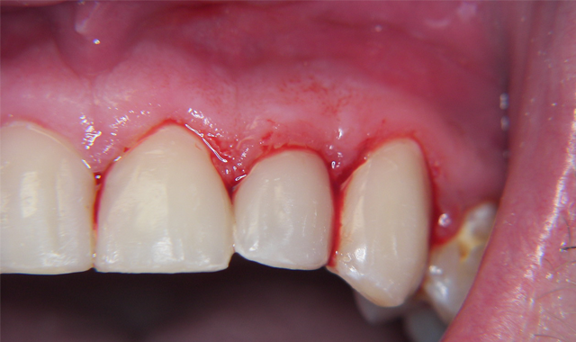
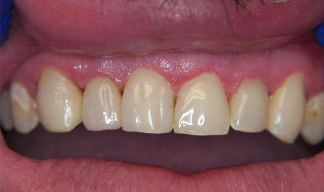
The pre-operative photos presented highlight teeth #9, 10 and 11 prior to preparation for restorations. Notice the large areas of decalcification and decay present around the former bracket locations. Socioeconomic status did not allow the patient the financial option of porcelain veneers.


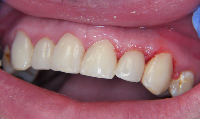
As an alternate to laboratory fabricated veneers, chairside direct composite veneers were indicated. Photos represent teeth #6, 7 and 8 as completed restorations from the initial appointment, and step-by-step details of the contralateral side. All six chairside veneers were completed over two one-and-a-half-hour appointments.

Decay was completely excavated using a Piranha® medium diamond cylinder bur (SS White). Following excavation, it became apparent that decay extended interproximally and needed both class III and veneer restorations. A window-type preparation was chosen for the veneers. Preparation was extended to the incisal edge, but an incisal reduction was not taken.
In order to secure an excellent bond, isolation is critical. A Greater Curve matrix band (banana band) was chosen to restore both preparations in one setting. This type of isolation minimizes contamination from trying to fill the Class III preparation then alternately restoring the veneer preparation. The fewer number of times a matrix is moved, the less tissue damage and crevicular fluid risk occurs.
Following isolation, the teeth were cleaned for 20 seconds with a 50% sodium hypochlorite solution and then rinsed. Preps were then etched with Pulpdent® 38% phosphoric acid. The etchant was removed with a vigorous 15-second water rinse.

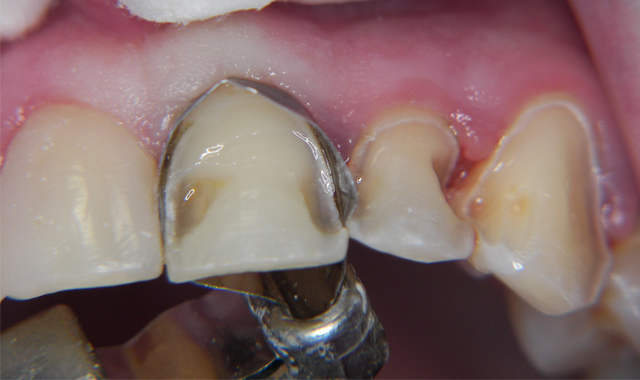
Effective rinsing must be utilized to avoid post-op sensitivity. Teeth were then primed for 20 seconds with OptiBond™ XTR primer (Kerr). Following primer, they were bonded with OptiBond™ XTR bond (Kerr) for 20 seconds and light cured for 10 seconds. The Class III preparations were filled in with A2 Premise™ Flowable (Kerr) to the level of the veneer preparation and cured for 10 seconds.
Two shades of Estelite Sigma Quick were selected for the veneer preps: A2 in the cervical and A1 in the incisal. This two-shade technique mimics more natural tooth structure and gives the tooth a more life-like appearance. It is not necessary to use multiple shades of dentin and enamel, as many composites require.

The design and blending abilities of Estelite Sigma Quick are all that most teeth need to impress clinicians and patients alike. The composite was placed with a plastic filling instrument in one application to the cervical â . The composite was light cured for 10 seconds. The incisal was placed in a similar way with the PFI in two increments and light cured for 10 seconds each. Following placement of all of the restorative material, the final fills were light cured for 20 seconds each.
Most any polishing technique produces brilliant restorative shine with this material. I prefer to start out by removing the bulk excess with the same round end cylinder bur with which the teeth were prepared.
Using a paintbrush style of removing excess composite, the teeth were shaped to nearly ideal. Developmental depressions were placed with the same bur as well. In a stepwise fashion, I then proceeded to a mandrel and Moore’s disc - plastic medium grit. Embrasure forms and line angles were defined with the disc. Diamond lines left from the burs were removed, and the restorations began to look complete. Enhance® Cups (Dentsply Sirona) were implemented to begin the final polish. The entire restoration was polished with the cup and developmental depressions were further defined. High shine was finally achieved using PoGo® cups and points (Dentsply Sirona). I prefer to have the teeth be dried by the assistant prior to a final polish with these products. In the post-op photo of all six completed veneers, a transformed smile is evident.


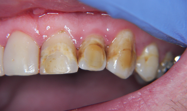
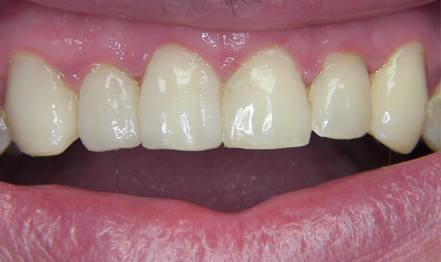
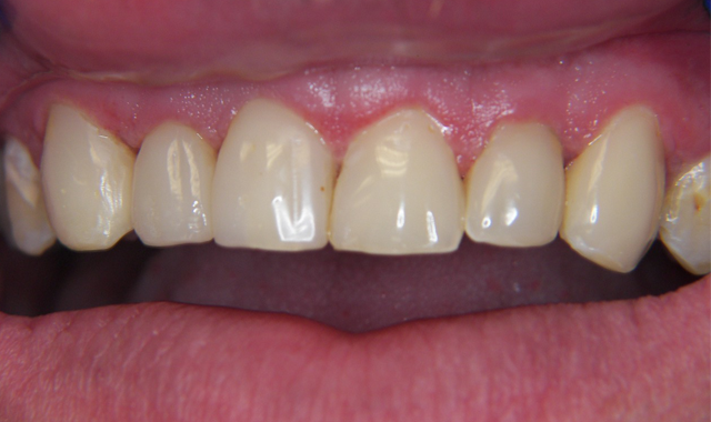
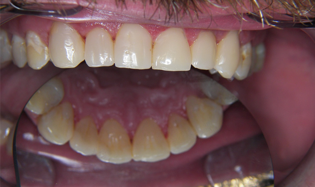
Seven years post-op
As many patients do after life-changing events, they get lost in the shuffle of a busy practice, or fail to keep up with regular recall appointments. This case study is no different. Nearly seven years after initial placement, the patient returned for hygiene treatment.

You will notice in the untouched, seven-years-post-placement photos that the direct restorations look nearly identical to initial placement. These restorations were not re-polished or even cleaned/scaled by our hygienist at the time of photography. The patient has enjoyed the life-transforming restorations without complication, excessive wear or any significant concern during the time away from our practice.
This case study demonstrates the longevity, beauty and reliability one can expect from this product. Unlike porcelain veneers or indirect restorations, direct composite restorations can be easily repaired, should the need arise. It is the opinion of this clinician that these restorations and this product are indicated not only in less-than-ideal situations, but also as a first choice in your treatment planning decisions.

