Dr. Elliott Mechanic explains how Pulpdent's ACTIVA BioACTIVE-CEMENT can help simplify crown cementation.

Clinicians can expect to see a growing number of dental products that claim to be “smart ” or “bioactive.” To qualify, materials must not be passive; they must play a dynamic role in the oral environment.
“Bioactive” materials are moisture tolerant, which makes them more forgiving and easier to use in the mouth. They respond to pH cycles with release and recharge of calcium and phosphate that stimulates remineralization and apatite formation at the material-tooth, making the tooth stronger and providing a seal from bacterial penetration.
Every day we see restorations that have voids, leaks and secondary decay at their margins, which is where the majority of dental restorations fail. Sometimes decay of this nature does not show on an X-ray until it is too late and the tooth cannot be saved. How did this decay get there? This is what our eyes can’t see.
Fig. 1

Acids from dietary sugars break down the calcium and phosphate ions of the tooth. Irregular areas and margins where the seal may not be ideal are particularly susceptible and encourage plaque accumulation. ACTIVA BioACTIVE-CEMENT replenishes saliva with calcium, phosphate and fluoride and stimulates remineralization of affected tooth structure. Stimulating calcium and phosphate apatite formation is what a true bioactive material should do! This is what maintains the integrity of a sealed margin and keeps the restoration, tooth and surrounding tissues healthy.
ACTIVA
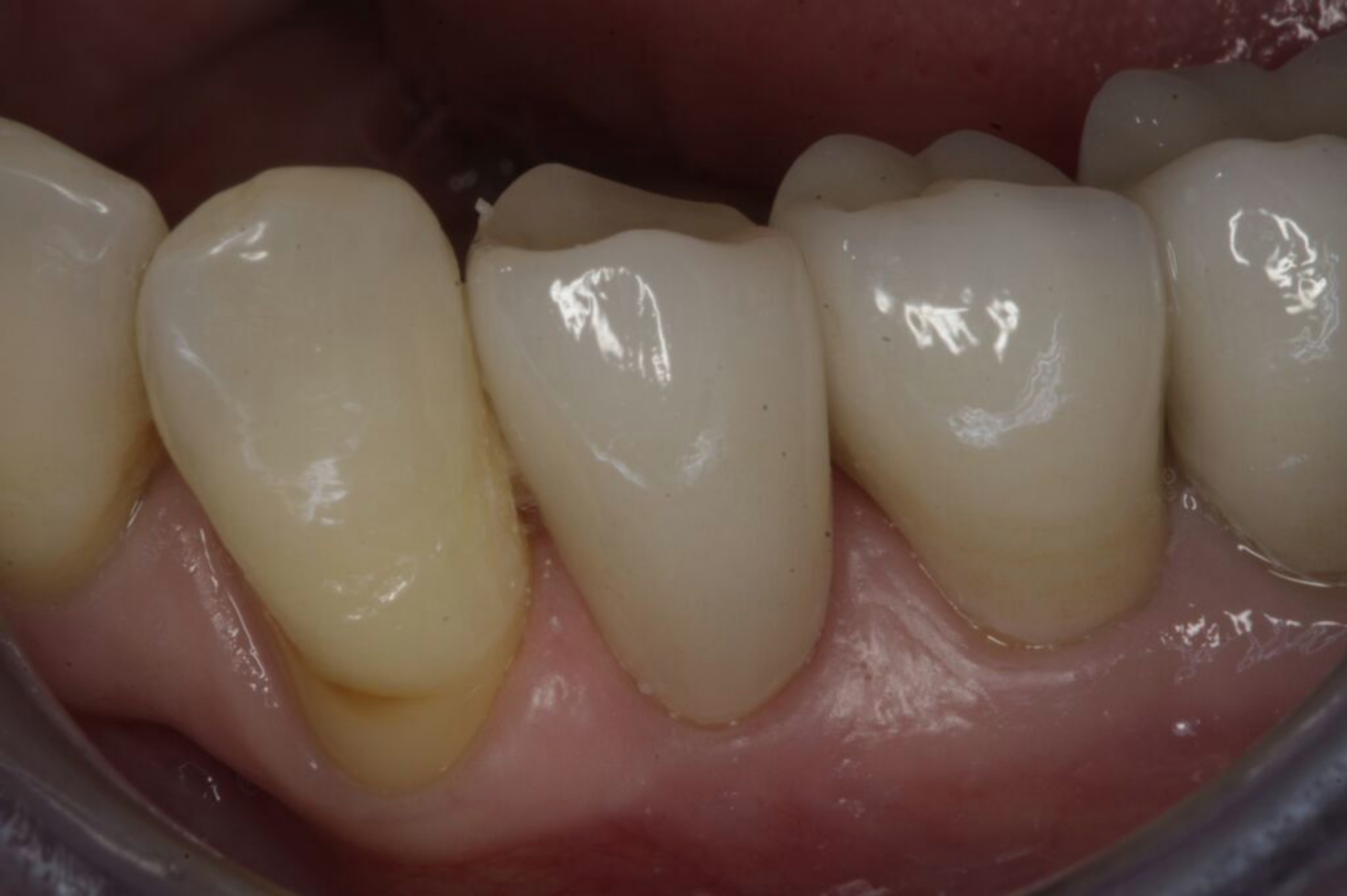
Fig. 2

Cement has a shock absorbing component that acts like a membrane or gasket, serving the same function that a periodontal ligament does for the root of the tooth. It is also insoluble, durable, and will not wash out. This is advantageous for patients, who have a significant investment in the restoration.
ACTIVA Cement can be used with all substrates and is easily dispensed with an automix syringe. No trituration is necessary. To cement a crown with ACTIVA BioACTIVE, first prepare the tooth (Fig.1). Bonding agents are generally not required if there is a retentive preparation. Using high volume evacuation, compressed air and/or a cotton pellet, dry and remove all external moisture from the prepared tooth surface. Do not desiccate the tooth, which naturally contains a small amount of water. The tooth should not appear chalky or frosty. Next dispense ACTIVA BioACTIVE-Cement onto the antaglio surface of the crown, seat crown and tack cure for one to two seconds (Fig. 2). Excess cement is easily removed with an explorer (Fig. 3). Allow for 90 seconds working time and then light cure for 20 seconds. ACTIVA BioACTIVE-CEMENT is dual cure and self-cure setting time at mouth temperature is under three minutes from beginning of mix. See Figure 4 for finished restoration.
Fig. 3

Fig. 4

Fig. 3 Fig. 4
Photos courtesy of Dr. G. Franklin Shull
Check out the video below for more: