Buddy Shafter of Bay View Dental Laboratory tells Dental Lab Products what his experience has been using PREMIOtemp temporary material from Primotec USA.

One of the biggest question marks during any kind of lengthy dental restorative process is the creation and placing of temporaries. These solutions can look too good, creating a smile that doesn’t look realistic in the slightest, or they can look just plain bad. They can be fragile, or they can take so long for the lab to create that the term “temporary” seems like a cruel joke. In short: Temporaries can be tricky.
Primotec USA recently introduced a new product that it believes takes the trickiness out of the temporary process. PREMIOtemp is an ultra-esthetic PMMA temporary material that combines five-plus layers of colors into one disc, reportedly giving the restoration the most natural look possible. These gradient discs are composed of special acrylic resins combined with organically modified ceramics for increased translucency and superior mechanical properties. PREMIOtemp is FDA-approved and available in most VITA shades. We recently spoke to one lab about their experience using the material. Here’s what they told us:
Bay View Dental Laboratory (BVDL) is a large dental lab in Virginia. A full-service lab, BVDL specializes in cosmetics, removables, implants and comprehensive dentistry. The lab was opened in 1976 and is a multigenerational family business. The lab employs 30 technicians and serves about 200 doctors around the United States. The lab also enjoys a close relationship with the Dawson Academy that has lasted more than 30 years. BVDL is one of only three Dawson Accredited Labs in the United States and played a role in the creation of The Dawson Academy Accredited Laboratory Association, a group dedicated to identifying the very best full-service dental laboratories in the country.
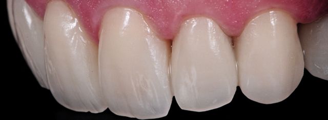
A temporary made with PREMIOtemp. Photo courtesy of primotec USA.

A temporary made with PREMIOtemp. Photo courtesy of primotec USA.
For a lab like BVDL, a product like PREMIOtemp was an obvious choice from the get-go. Like all full-service labs, BVDL had long provided temporary solutions for patients when they fit the workflow. PREMIOtemp was an update of that offering, providing better and more nuanced esthetics to a temporary.
“Provisionals are an important part of any comprehensive treatment,” explains Buddy Shafer, CDT and president of BVDL. “On a daily basis, we are involved with complex casework, including implants, combination fixed/removable work and severe wear cases. The provisional, or ‘prototype,’ phase is critical in establishing the proper functional and esthetic determinates and the most effective form of lab communication.”
Because of that, when PREMIOtemp was released in the United States, it was an easy decision for BVDL to get on board.
“PREMIOtemp is a great material we discovered out of necessity for better esthetics on long-term provisionals,” Shafer says. “Patients want to look good throughout treatment [but] prior to PREMIOtemp being developed, we were limited to monolithic materials. The need for better esthetics in the provisional phase lead us to try the material. The results were outstanding. We’ve been using PREMIOtemp for as long as it’s been available to us!”
Naturally, there are other PMMA solutions out there. But for cases that need to be highly esthetic, Shafer has high praise for PREMIOtemp.
“The difference with PREMIOtemp is apparent with the first case,” he says, noting the contrast with other temporary materials BVDL has used in the past. “[There are] no striations in the material. Other multilayer materials we had tried left horizontal striations throughout the restorations, which the doctors and patients would not accept. It simply did not look natural. PREMIOtemp looks very natural.
“PREMIOtemp is the most esthetic temporary material on the market today,” Shafer continues. “Whenever esthetics is the primary concern, it is our first choice for temporary material.”
Perhaps because of the strong emphasis on esthetics, Shafer also reports excellent feedback from dental clients and their patients.
“Doctors and patients alike have responded very well to this new generation of provisional material,” he says. “It feels very natural and polishes easily as the doctors make adjustments to fine-tune the contours to a patient’s detailed preferences.”
That kind of control and chairside adjustment are designed to make an ideal and beautiful temporary for every patient’s needs.

Another view of the temporary restoration.
Additionally, in BVDL’s experience, PREMIOtemp provides a reassuring solution for any patient who might be nervous about the final outcome of their case or worried about appearing edentulous (or having an odd smile) during the course of treatment.
“PREMIOtemp lets the patient feel comfortable throughout treatment, knowing his or her smile already looks natural,” Shafer observes.
That kind of comfort is invaluable for any clinician trying to make sure his or her patients know their future esthetics will be assured and helps the patient avoid feeling self-conscious while awaiting the final results of their treatment plan.
Shafer is also very complimentary of the company and team behind PREMIOtemp: primotec USA. The multilayer PMMA is just one example of primotec’s catalog of products, and Shafer says anyone familiar with primotec’s commitment to innovation shouldn’t be surprised to hear how well the temporary material does with labs, doctors and patients.
“The entire primotec team has been great addition to our network of restorative partners,” Shafer says. “They are experienced and respond quickly to a rapidly changing marketplace in dentistry. primotec has been a great resource for us and played a key role in our continuing success.”
With products like PREMIOtemp and a lab doing good work like BVDL, there is no doubt that continuing success will remain for a long while.
For more information about PREMIOtemp, contact primotec usa by visiting primotecusa.com or by calling 866-643-3129.